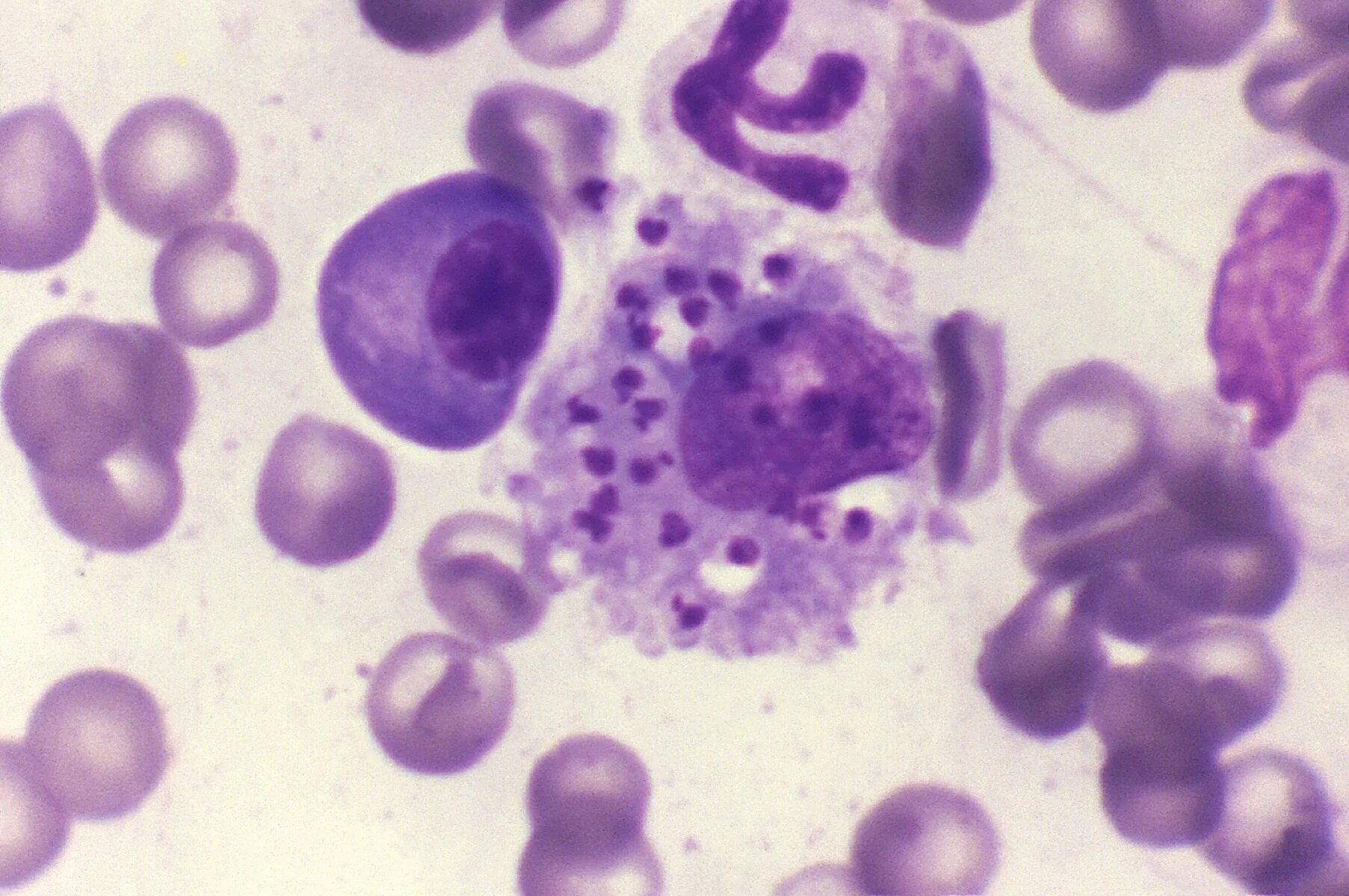
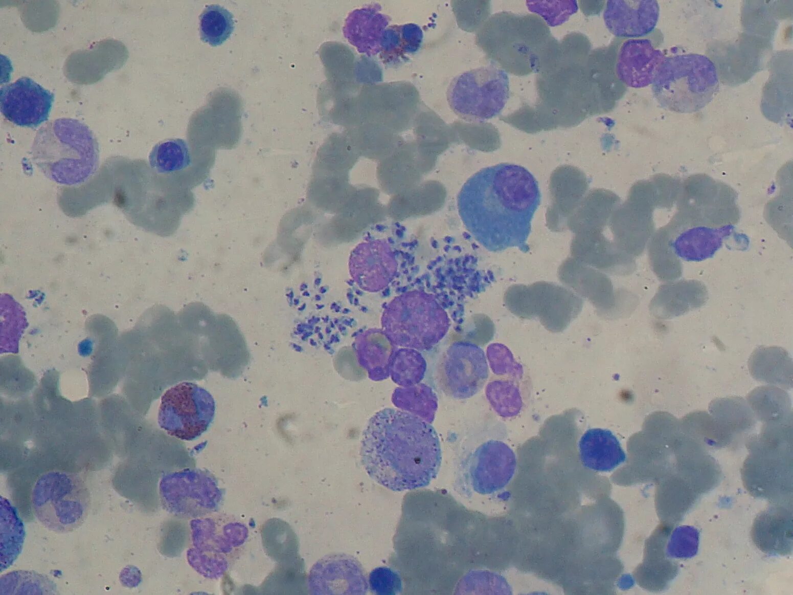
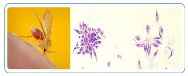
Лейшмания паразиты