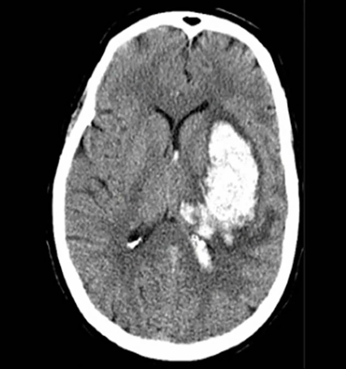
Лопнул сосуд в головном