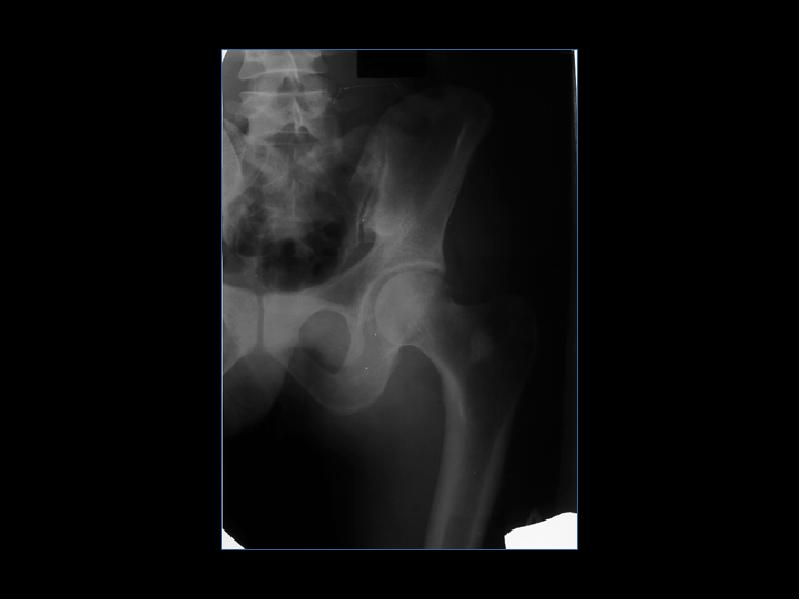
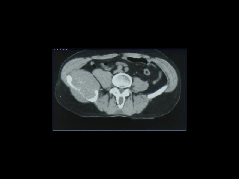
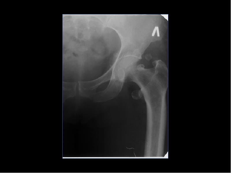
Лучевая диагностика доброкачественных