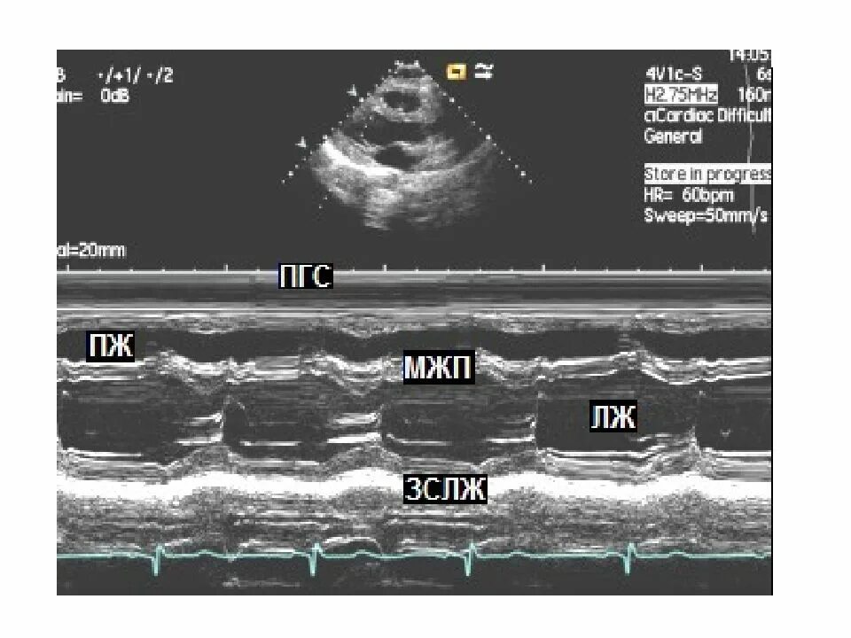
M mode