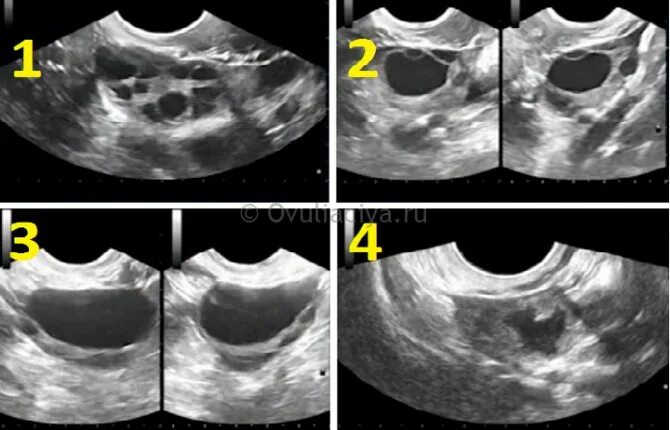
Максимальный размер фолликула