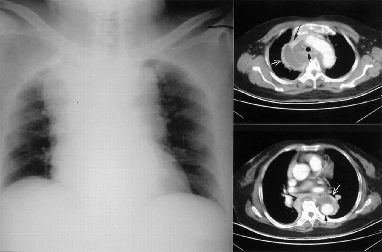
Медиастинит причины