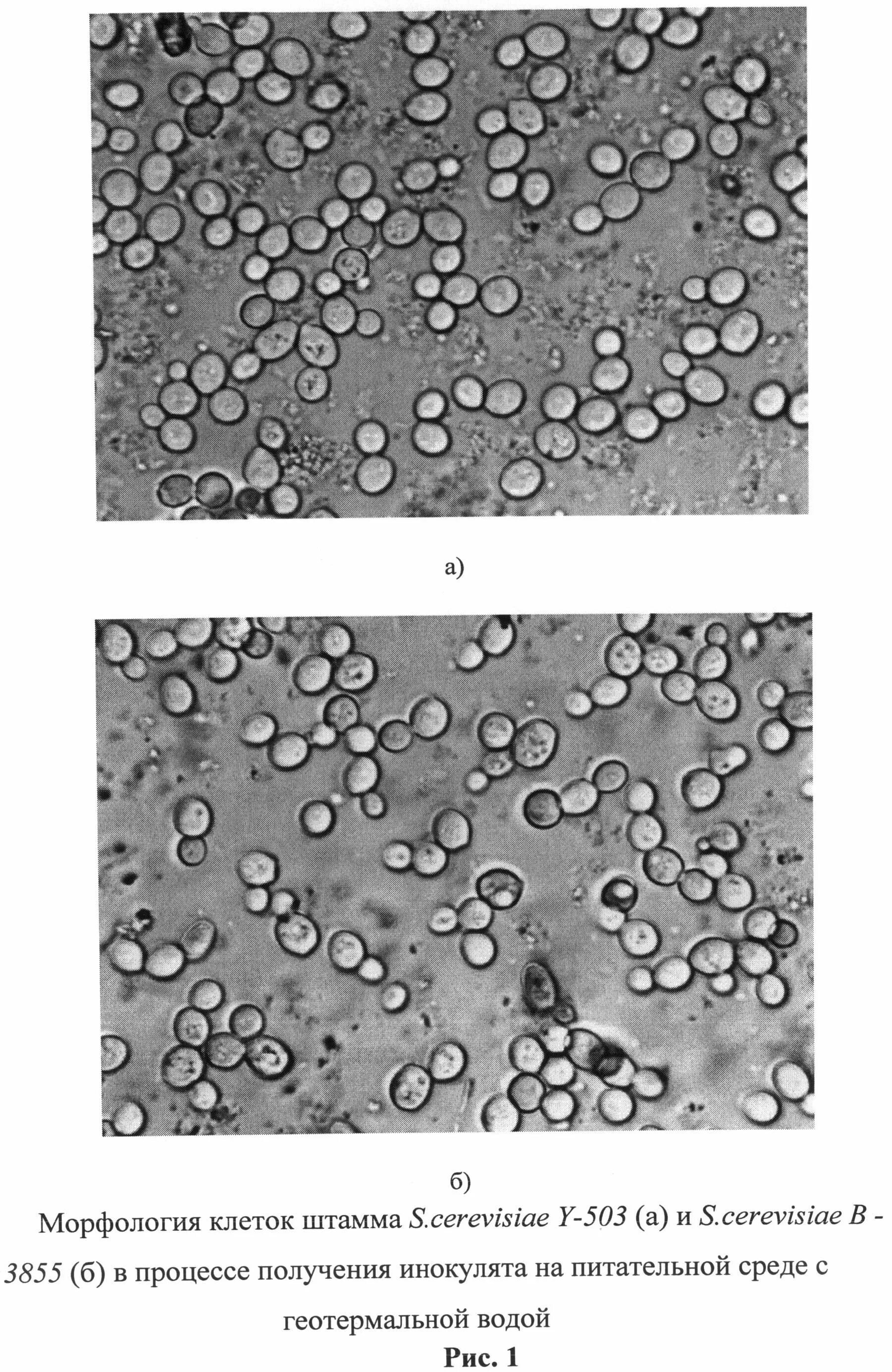
Метаболизм дрожжей