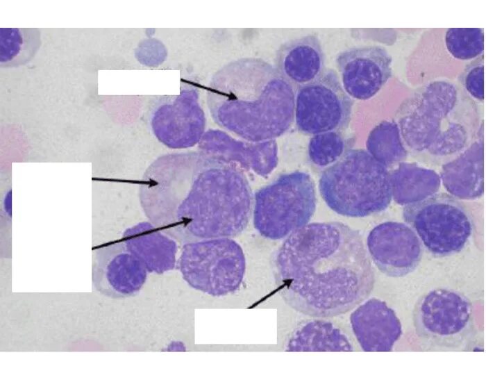
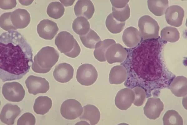
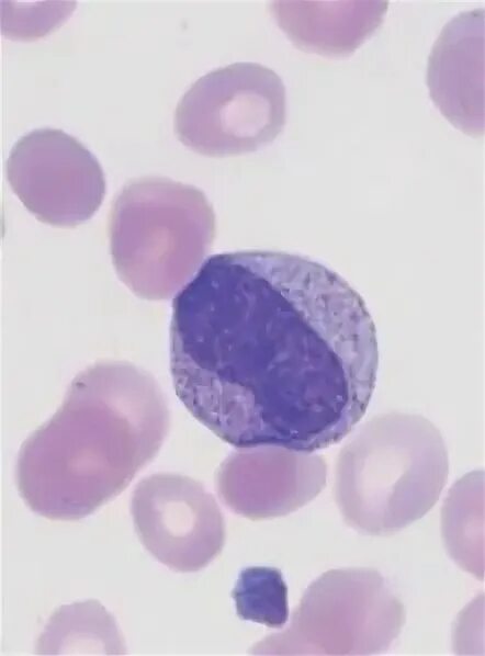
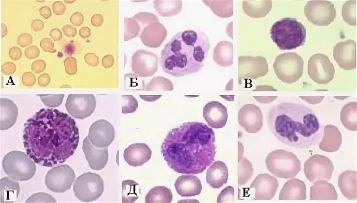
Метамиелоцитам присущи все свойства кроме