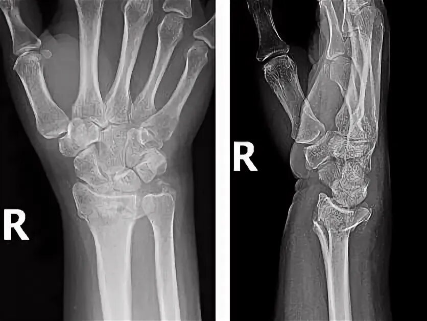
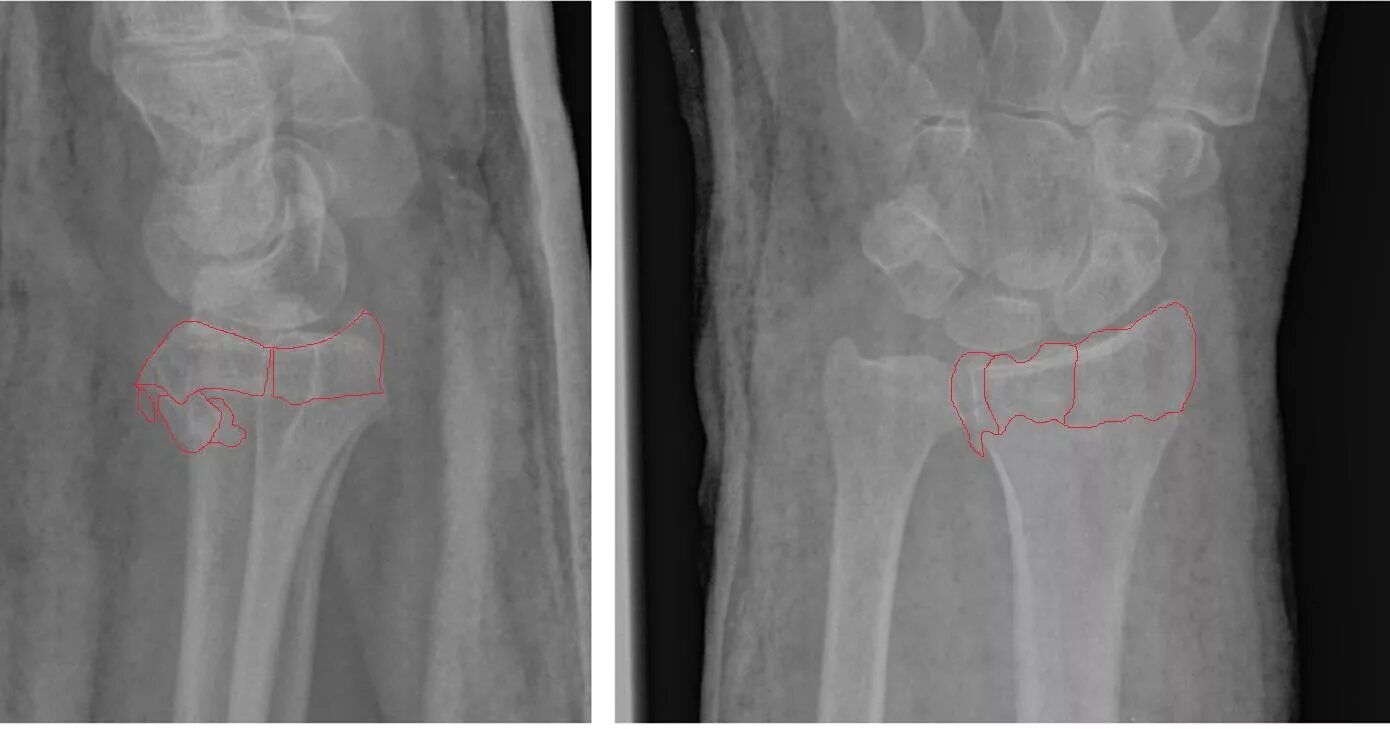
Мкб перелом луча в типичном