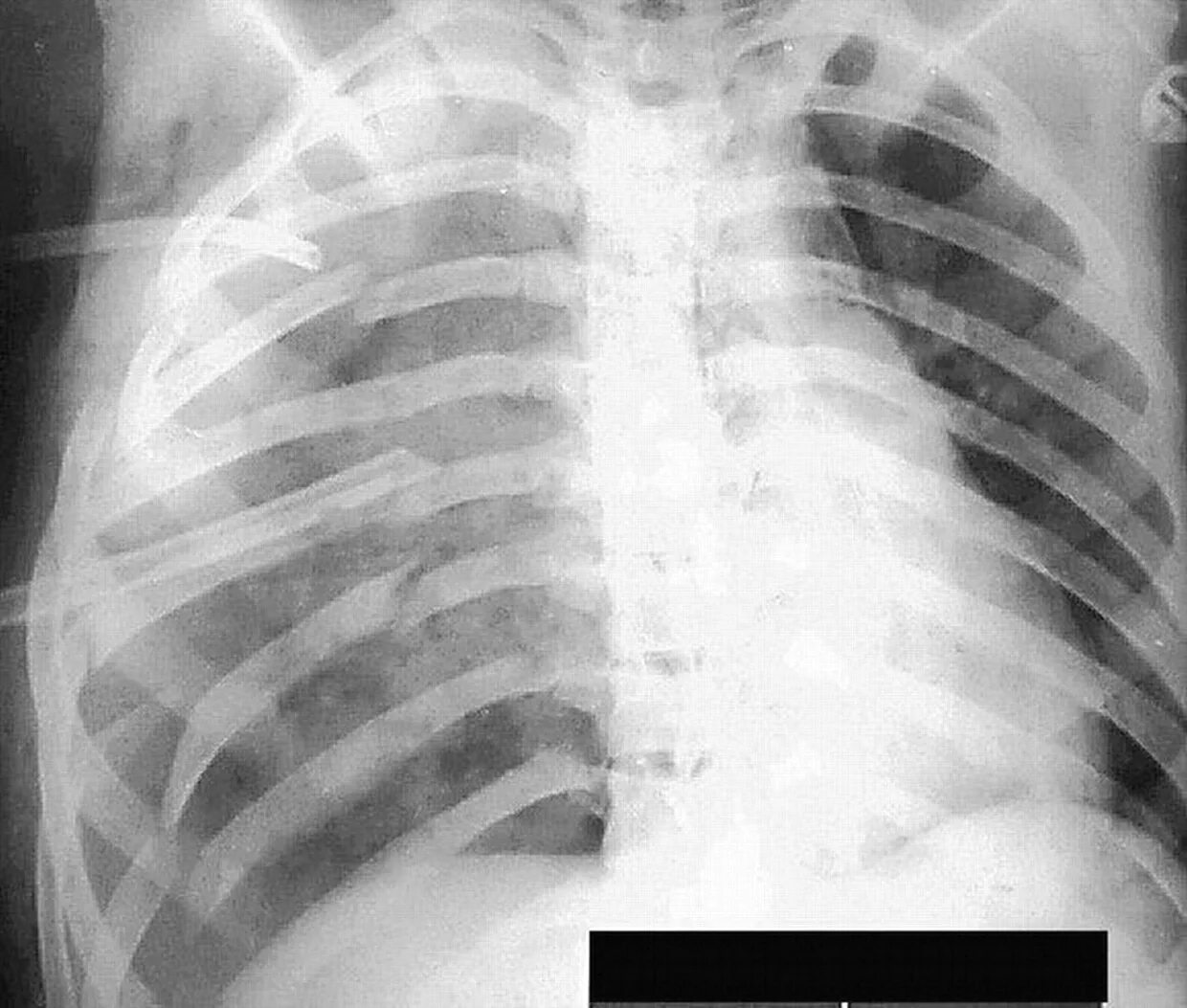
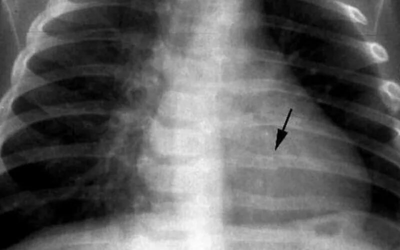
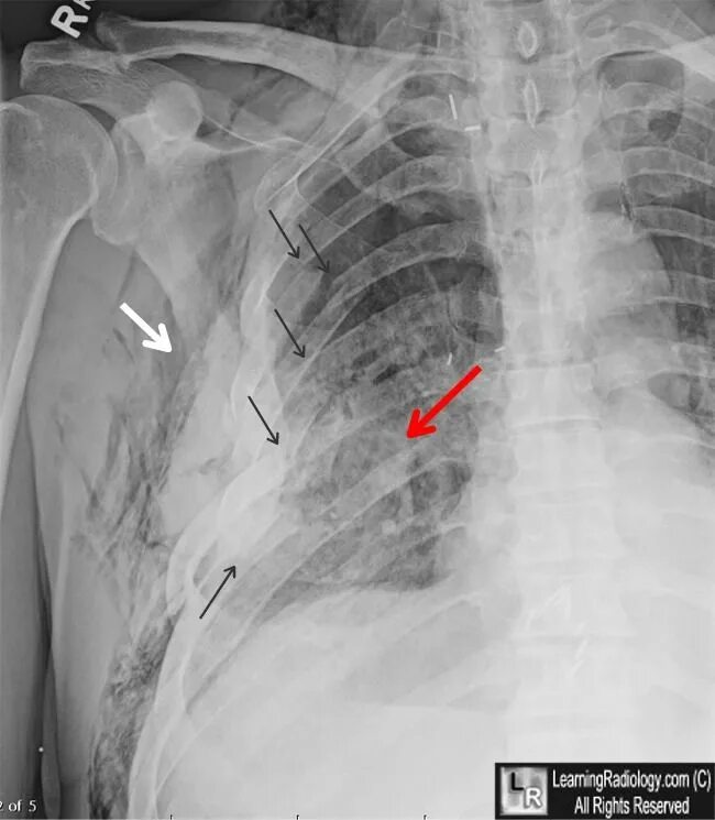
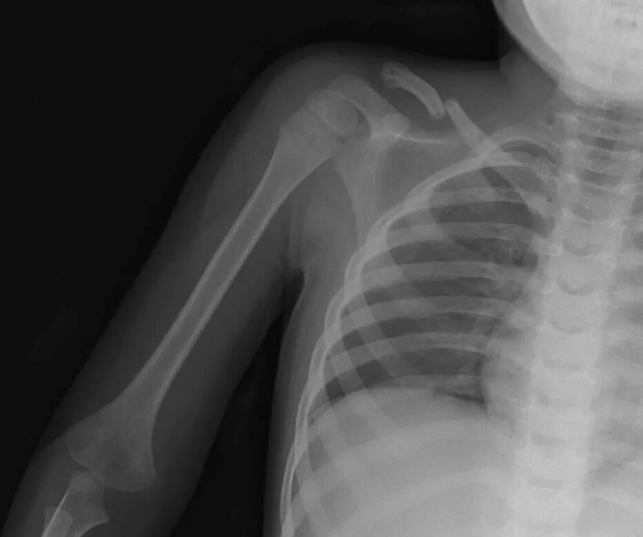
Множественные ребра