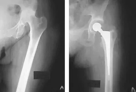
Можно ли мрт после эндопротезирования тазобедренного сустава