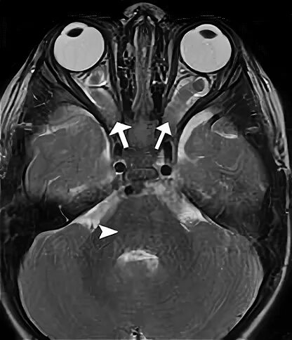
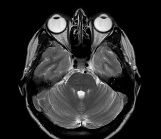
Мрт орбит и зрительных нервов