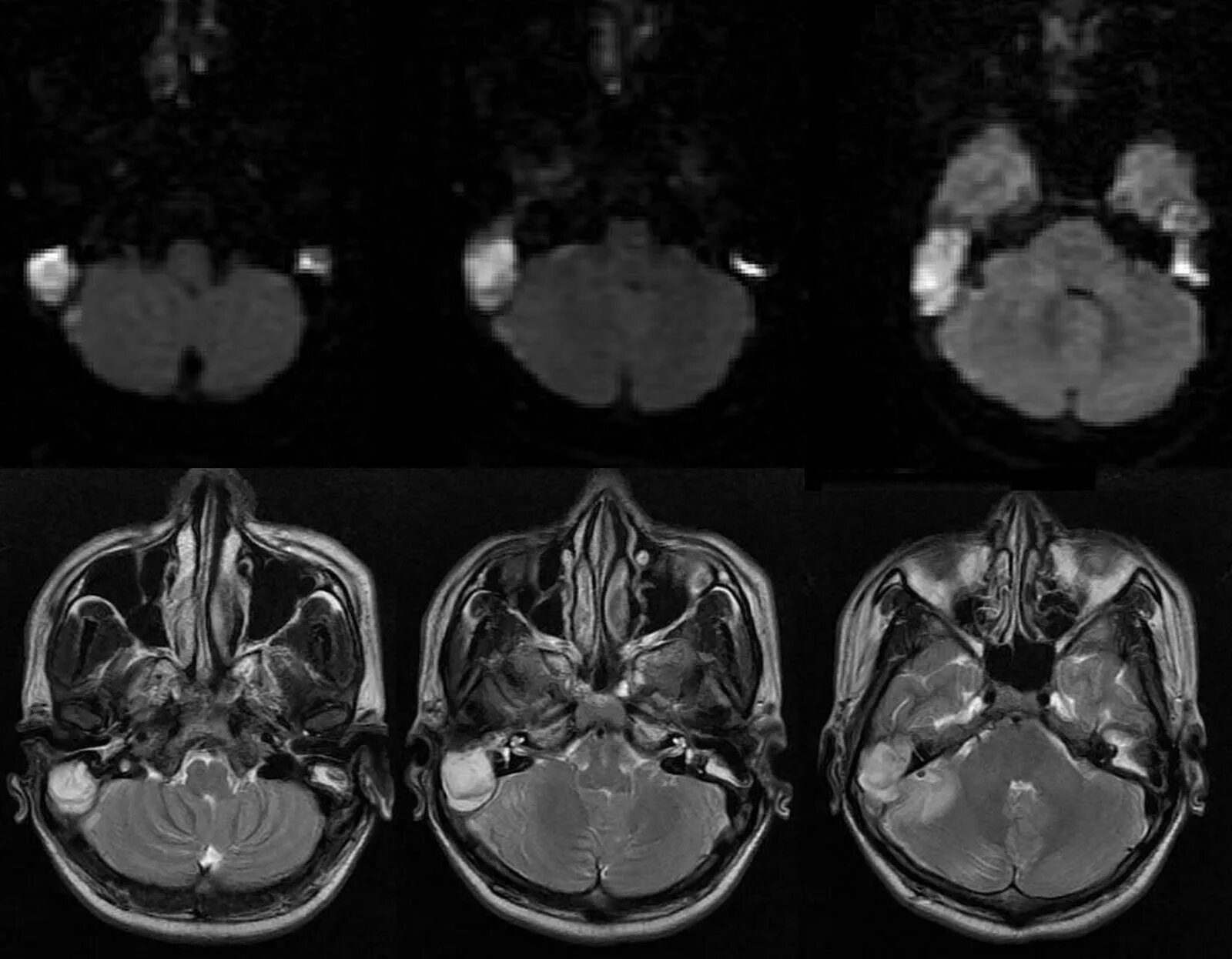
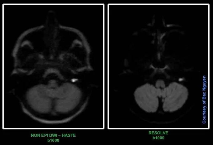
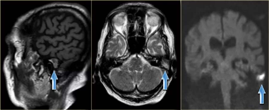
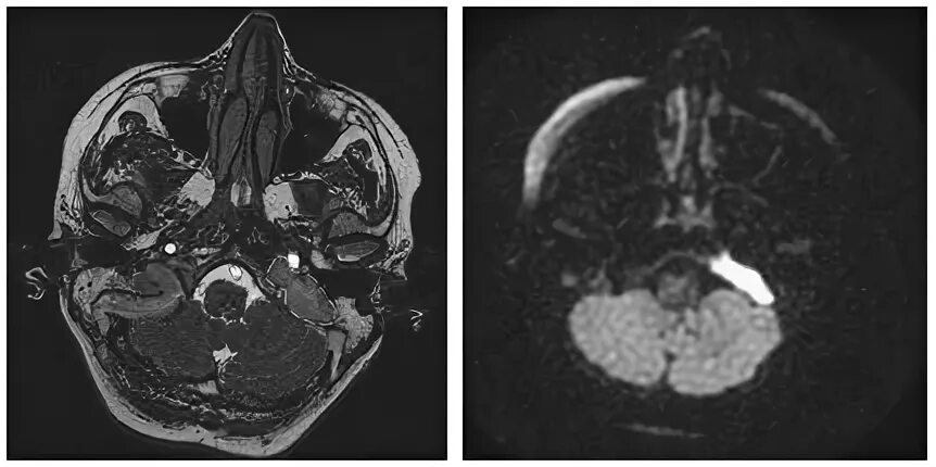
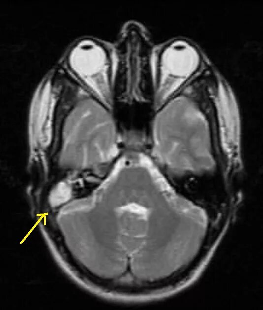
Мрт височных костей в режиме dwi