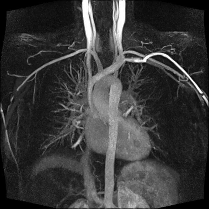
Мскт аортография