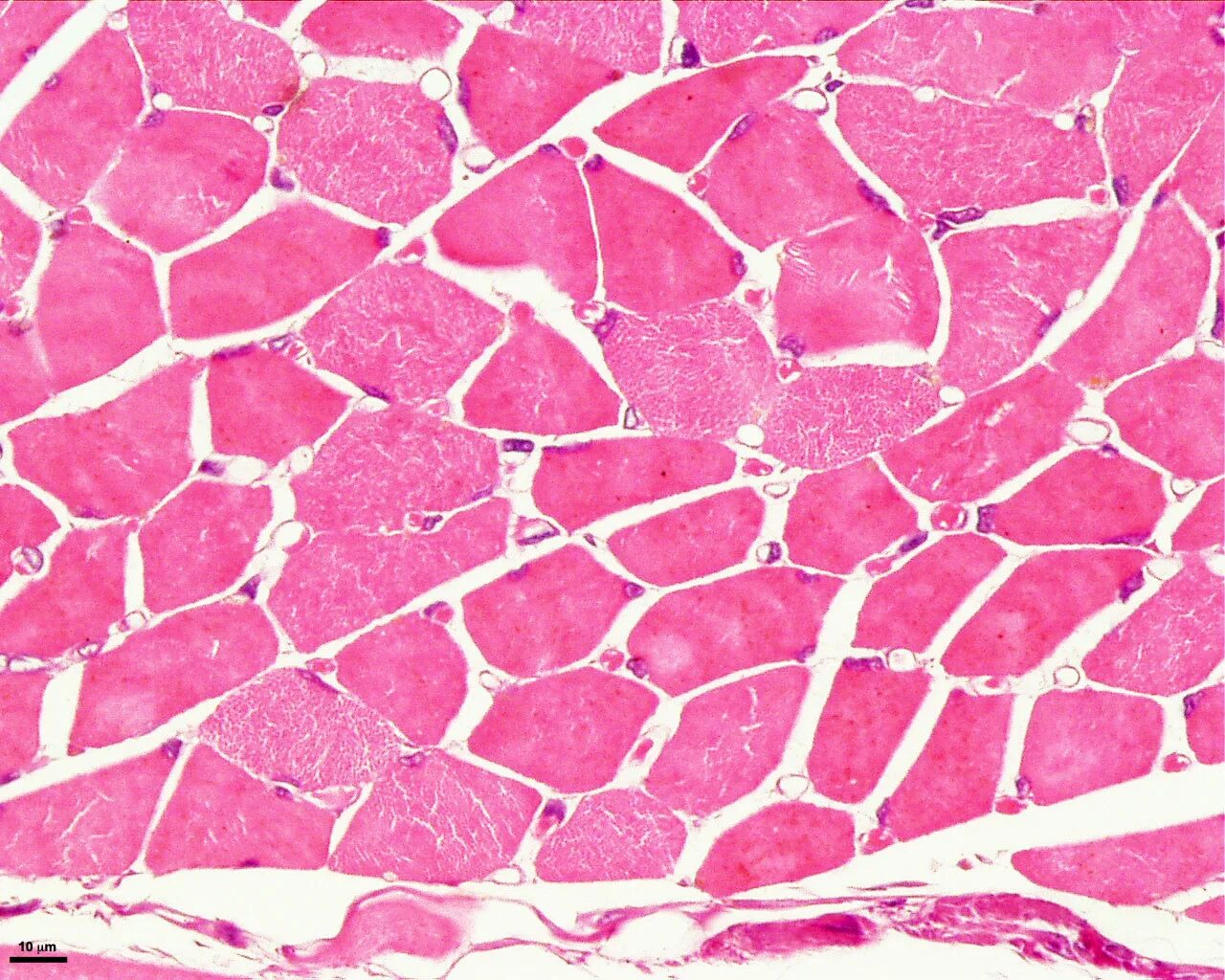
Мышечная клетка кожи