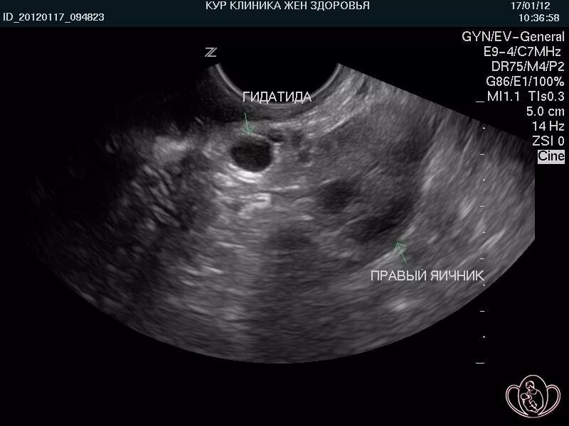
Некроз гидатиды морганьи