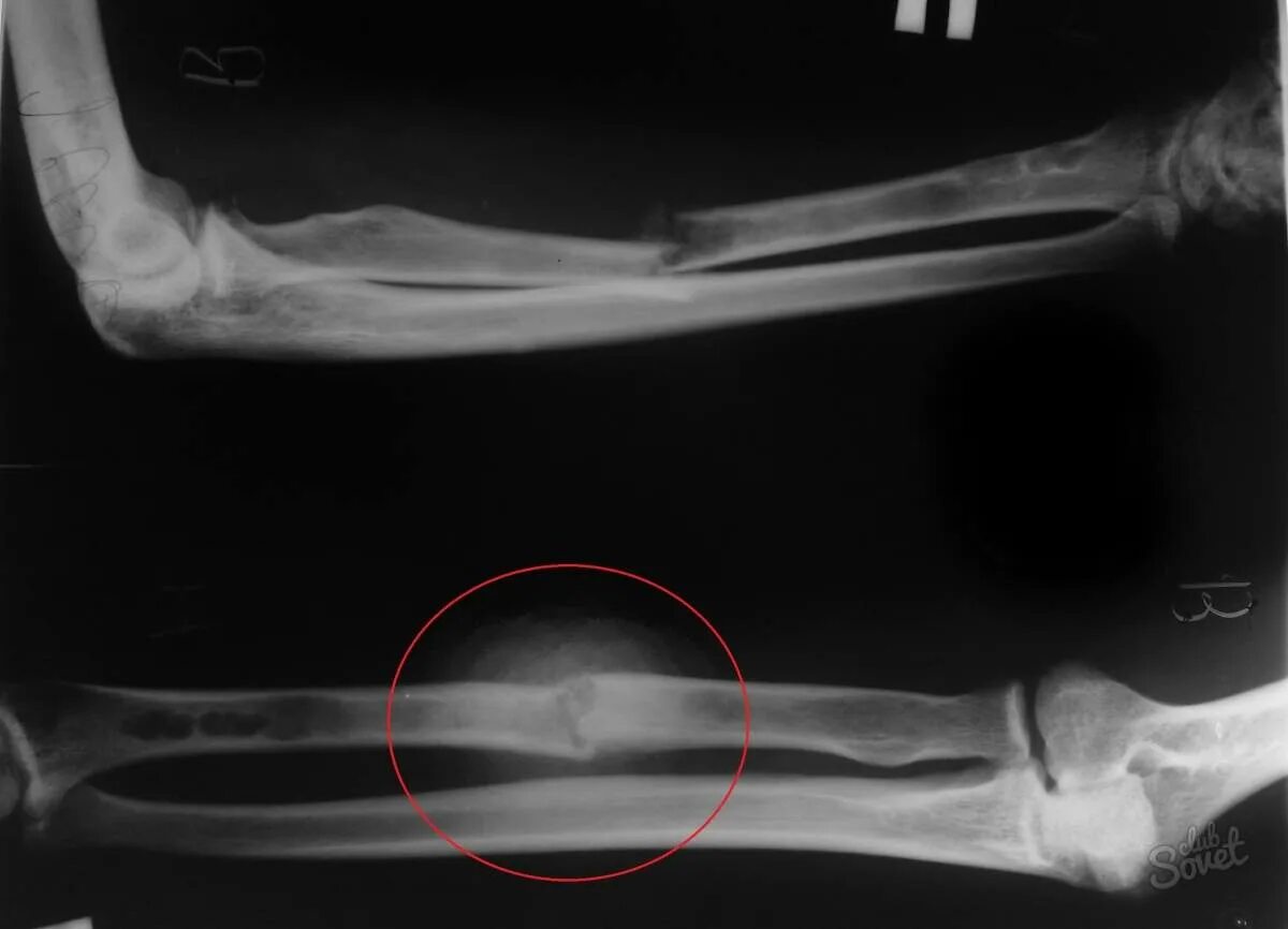
Неправильно срослась кость после перелома