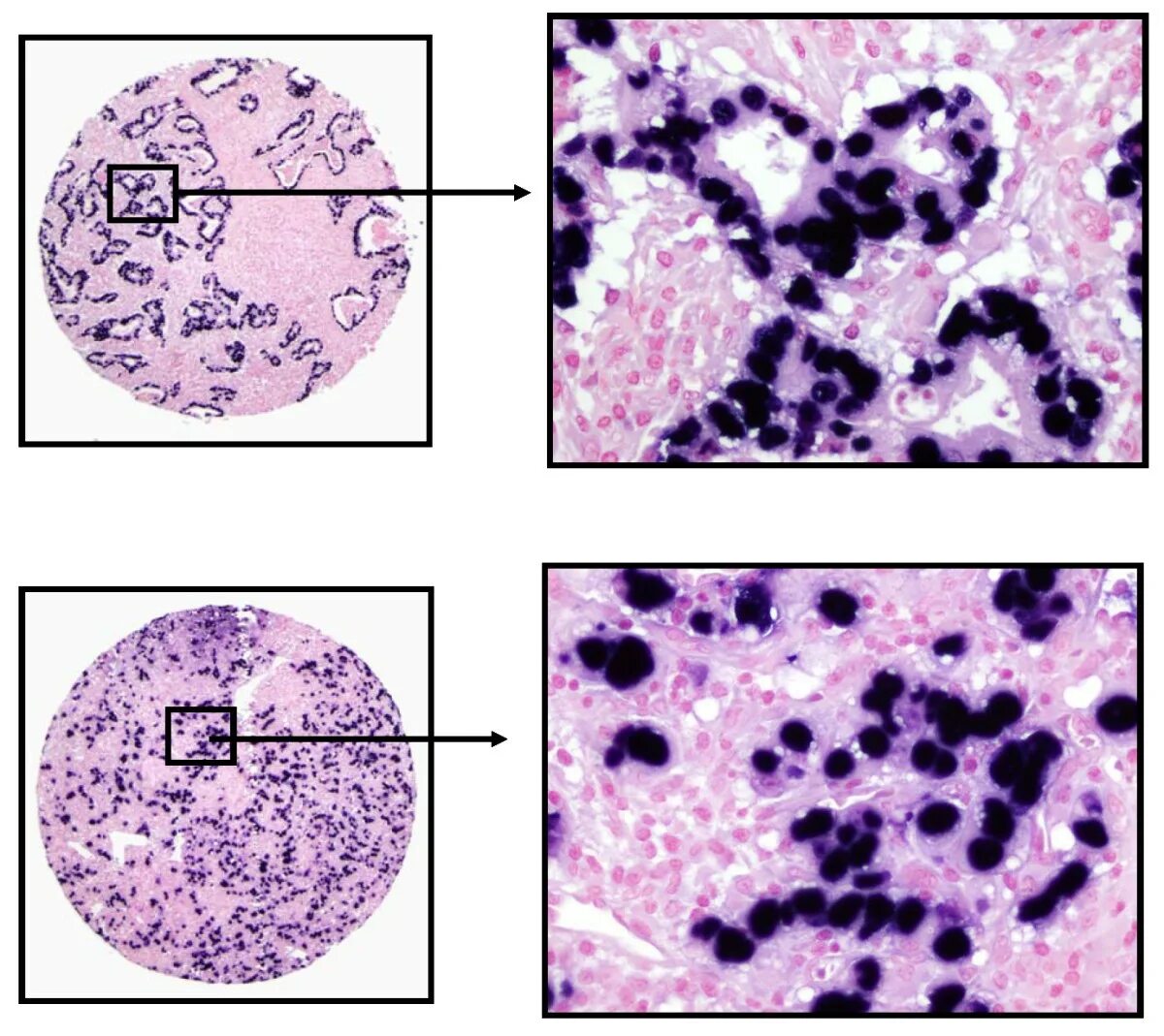
Нуклеарный эпштейн барр