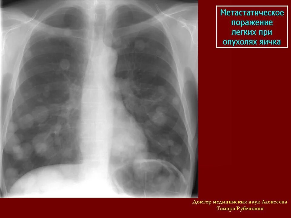
Образование в легком форум