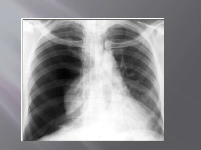
Обширная легких