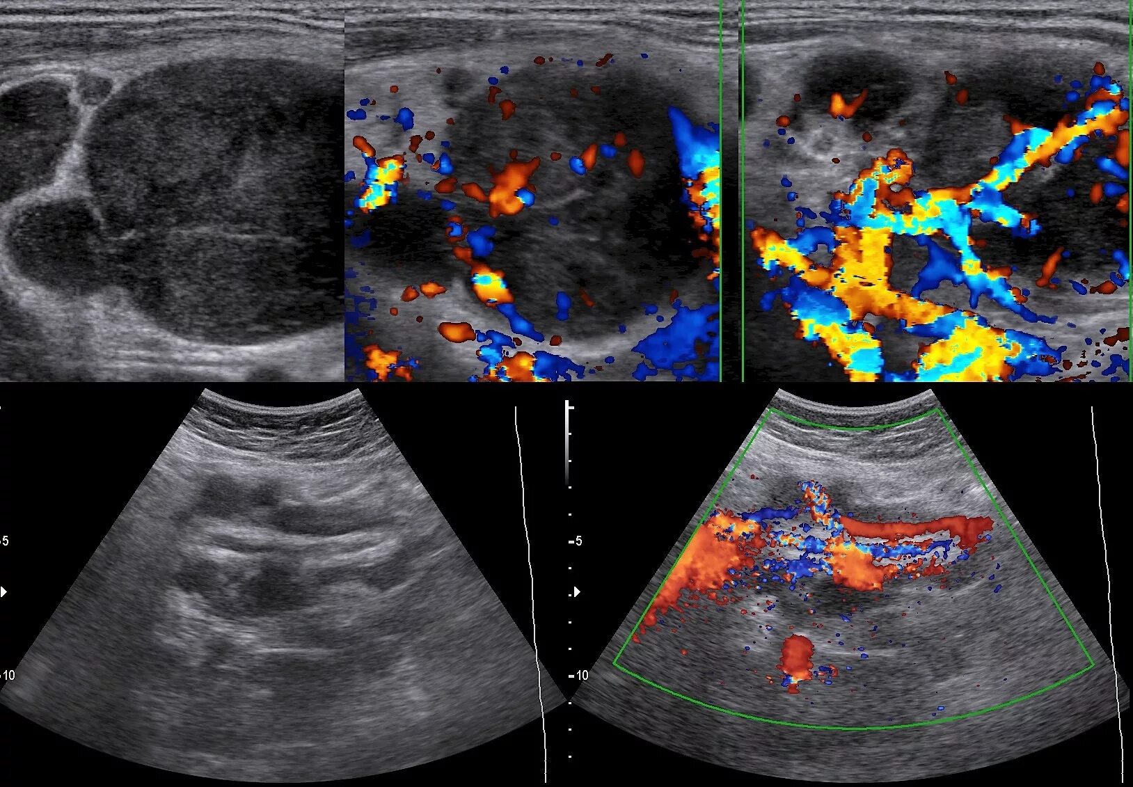
Обследование лимфоузлов