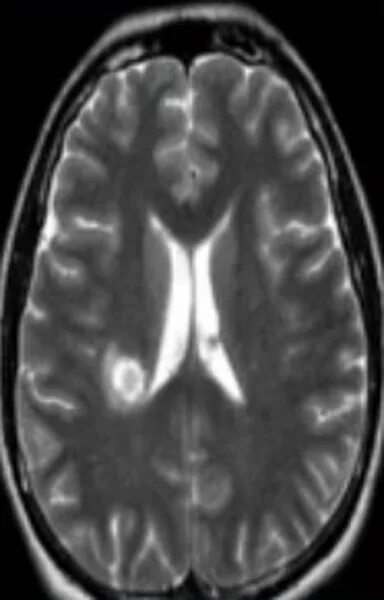
Очаг глиоза в теменной доле