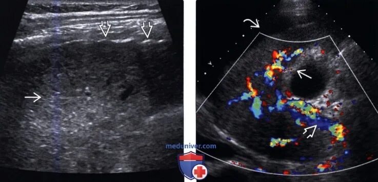
Очаги регенерации