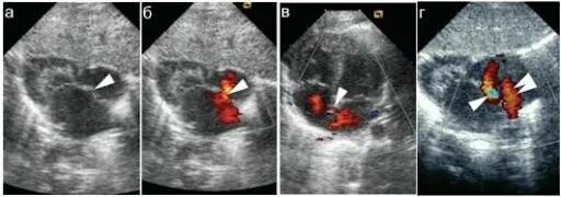
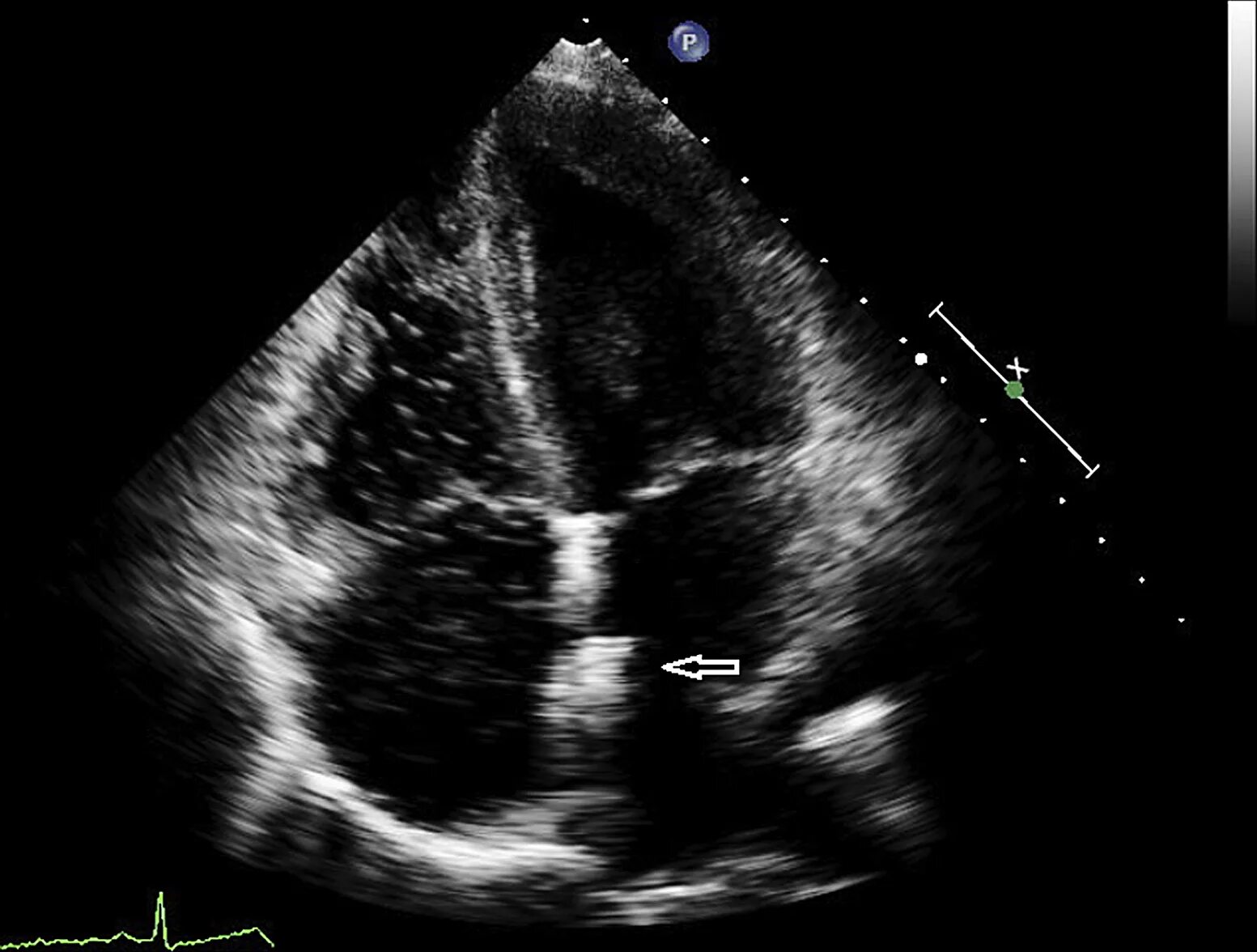
Окно в сердце у новорожденного