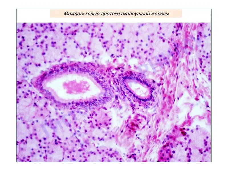
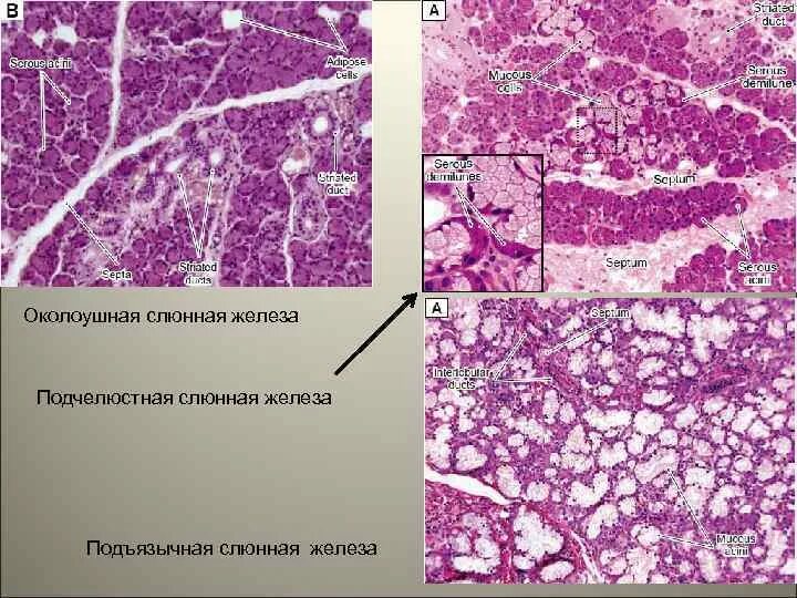
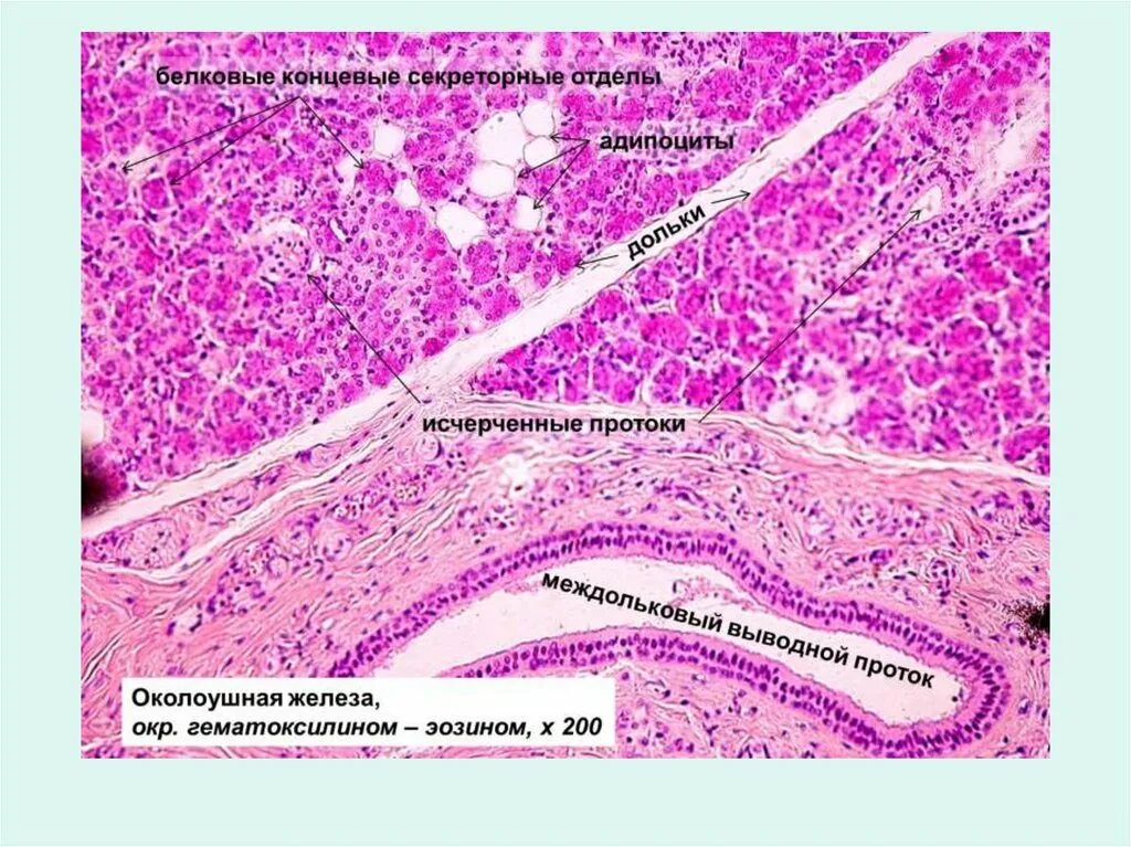
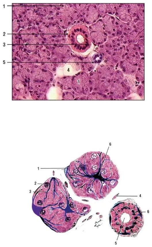
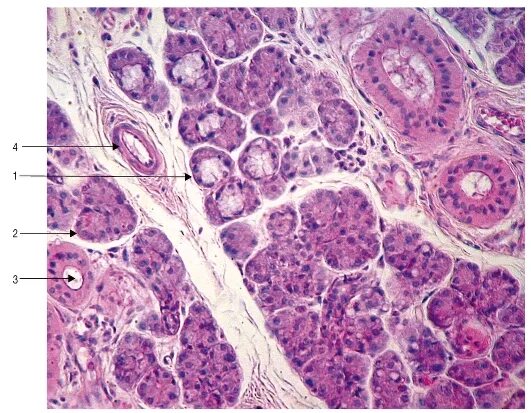
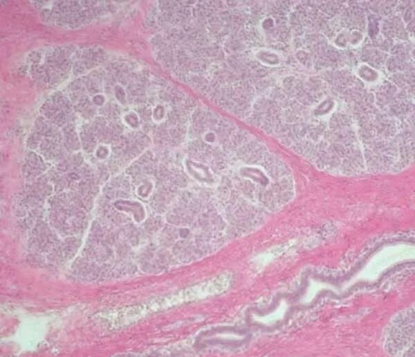
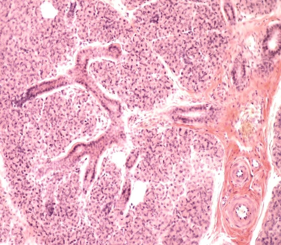
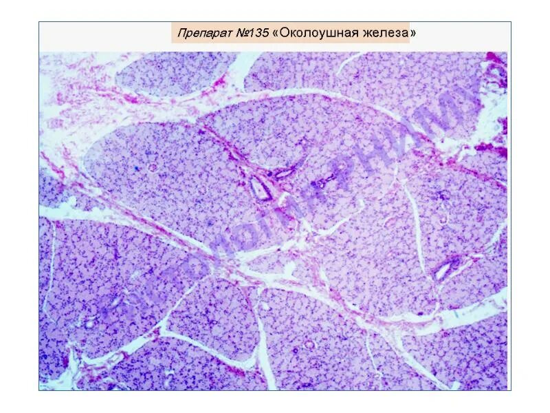
Околоушная гистология