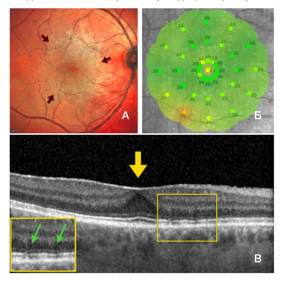
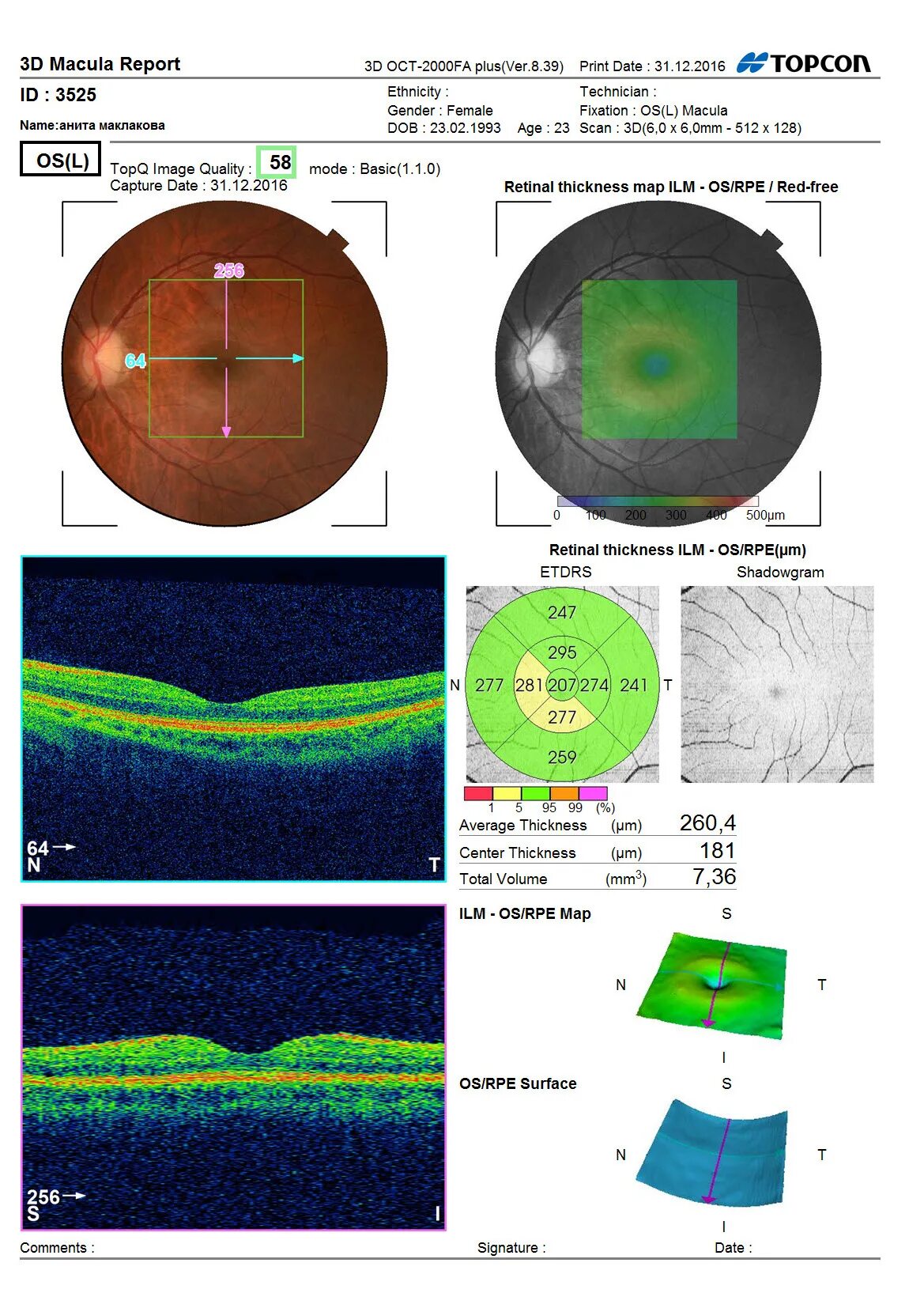
Окт макулы что это