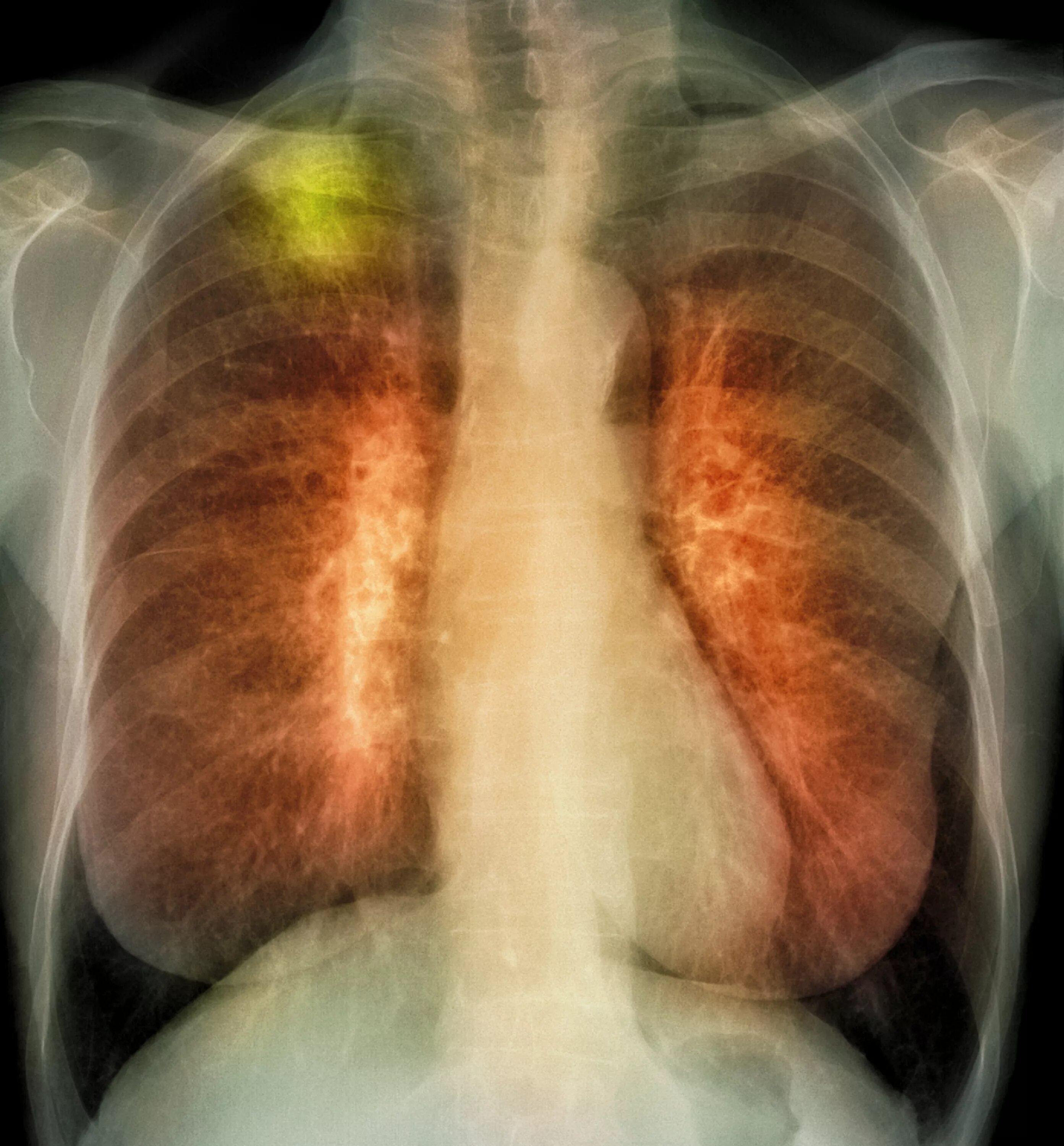
Онко легкие