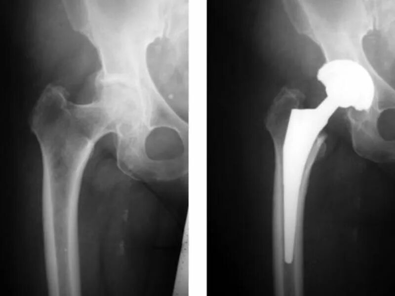
Операция при коксартрозе тазобедренного сустава