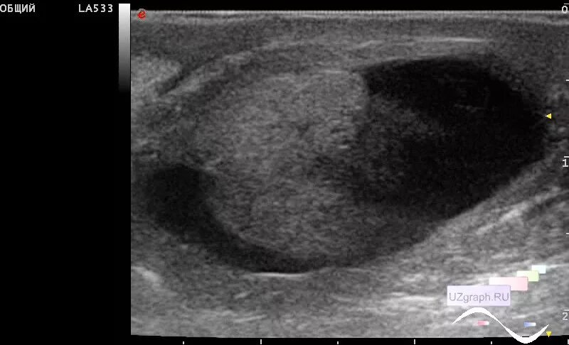
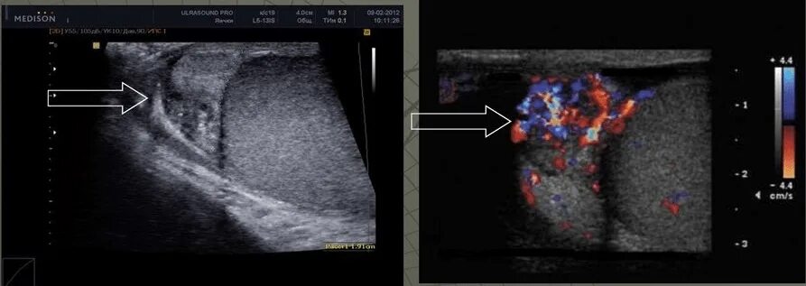
Орхит при паротите