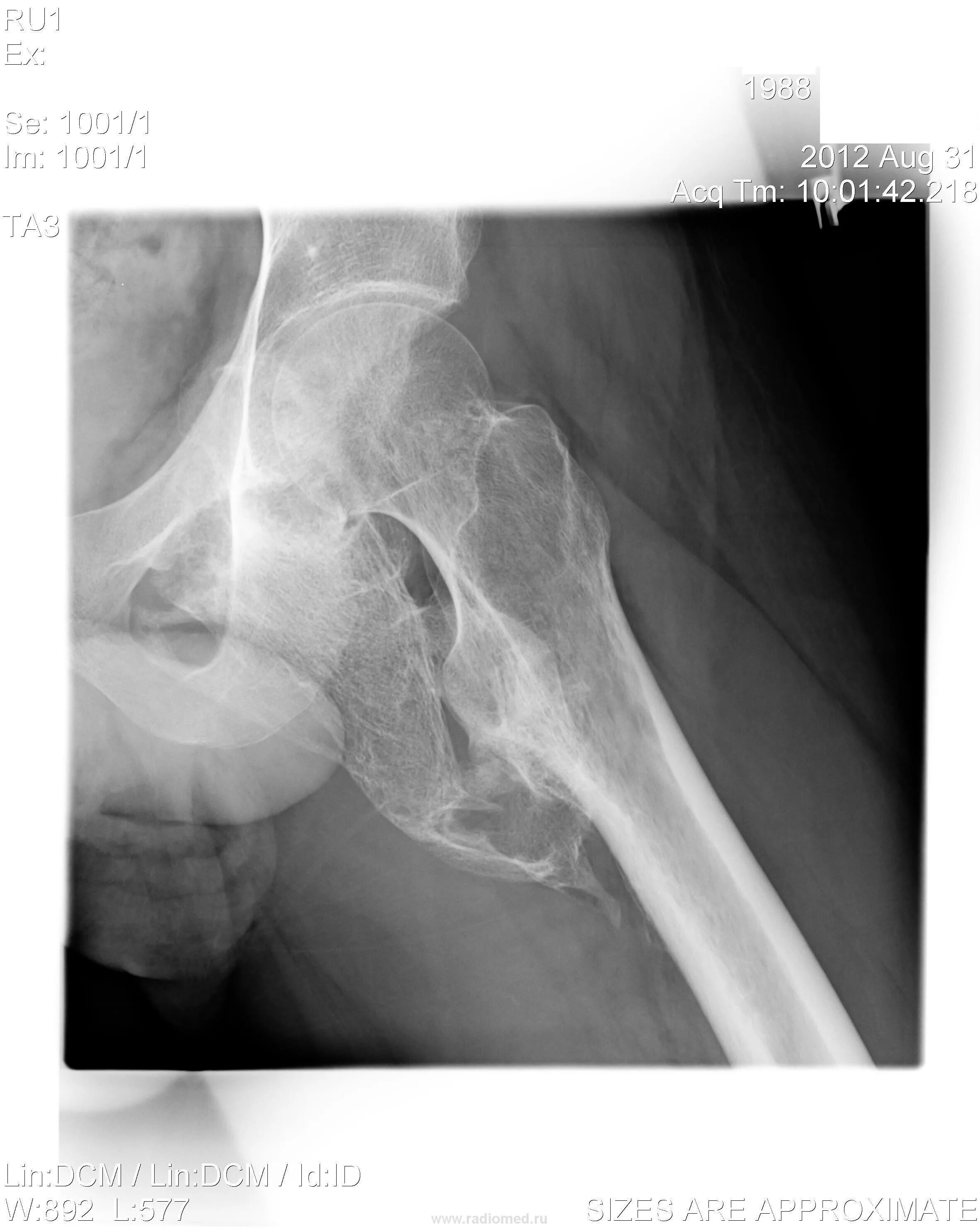
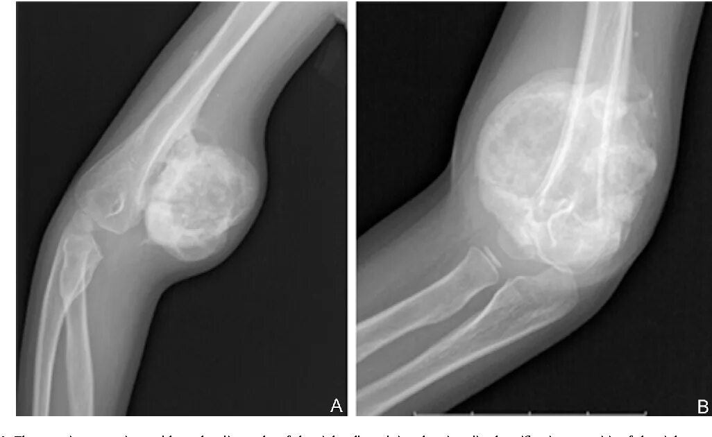
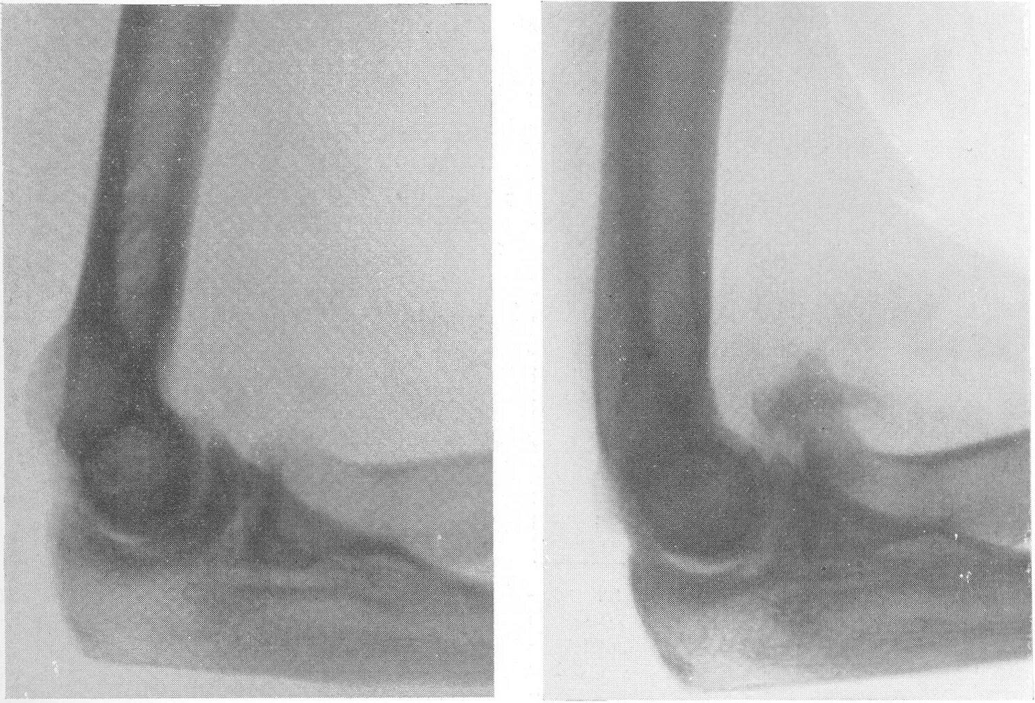
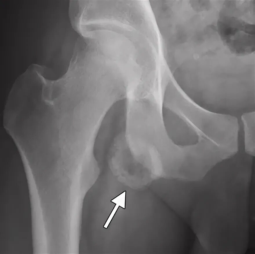
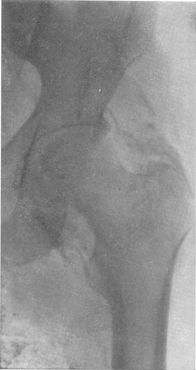
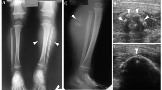
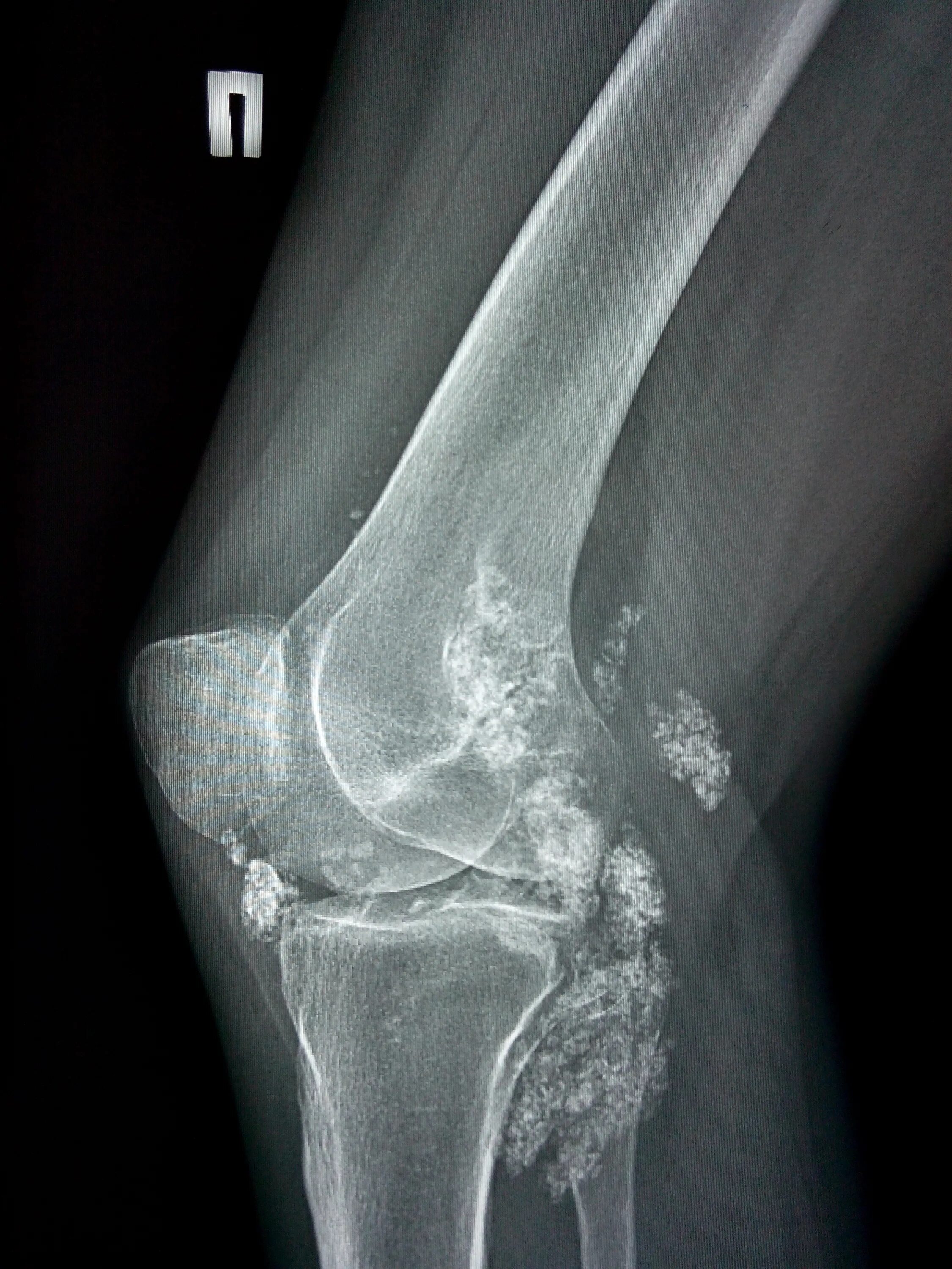
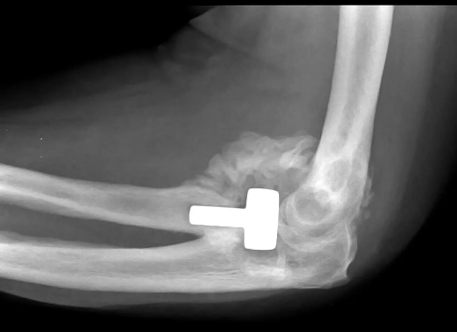
Оссифицированный миозит