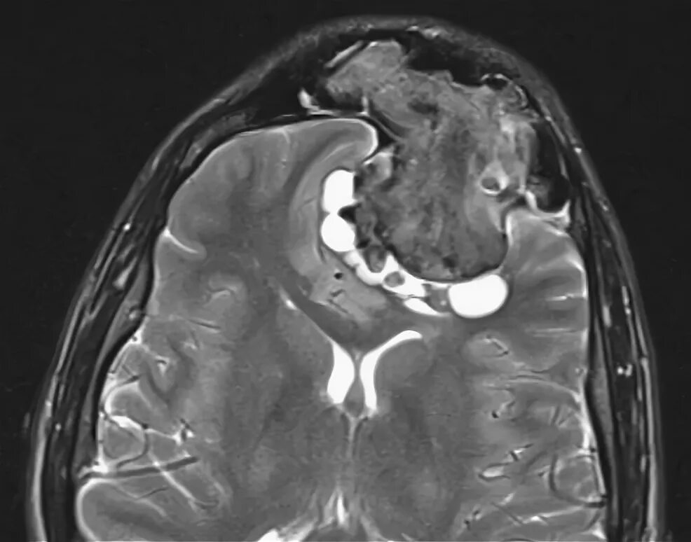
Остеома мрт