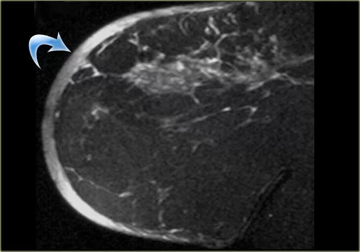
Отечная форма рака молочной