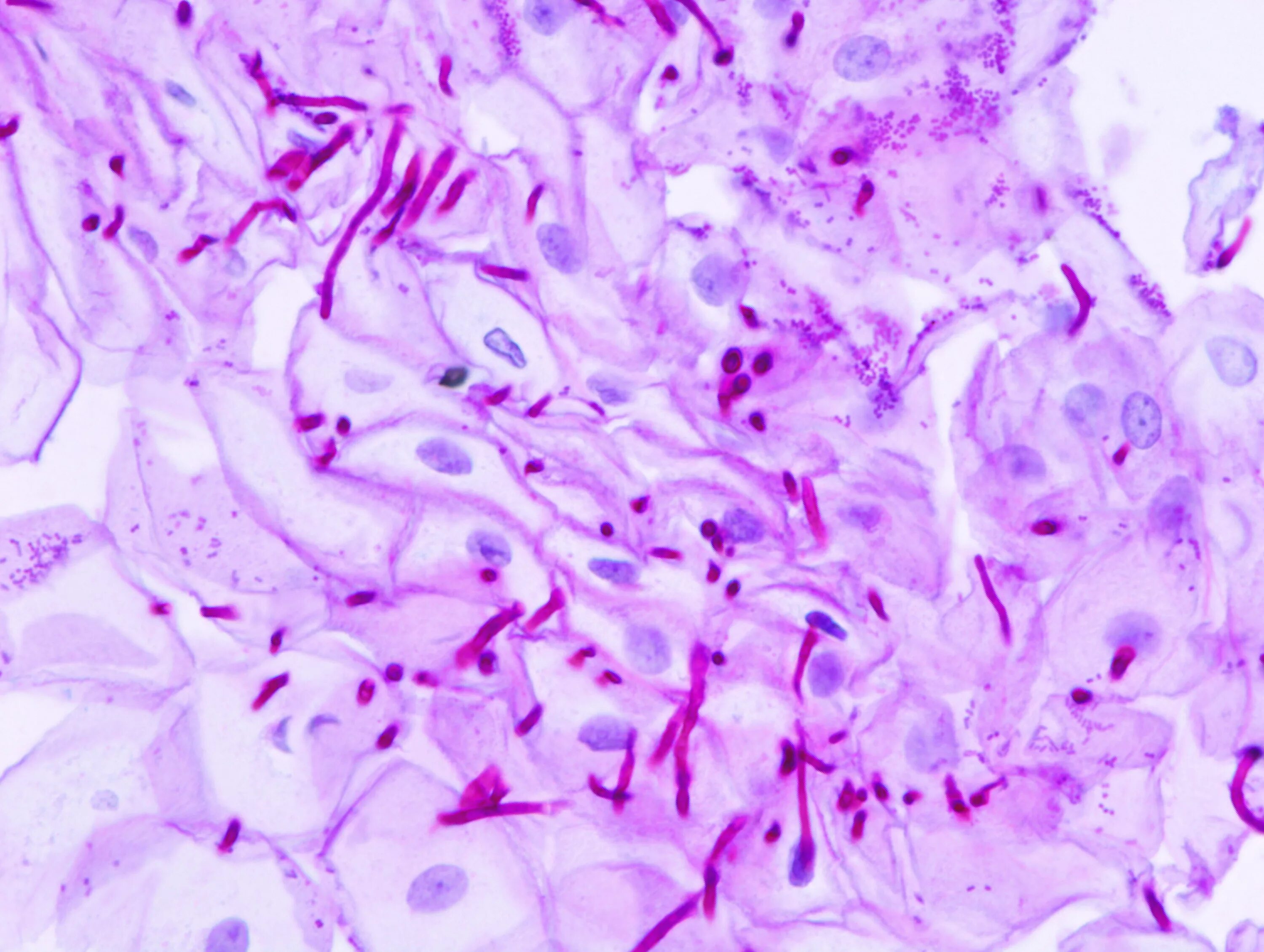
Pas 2 18