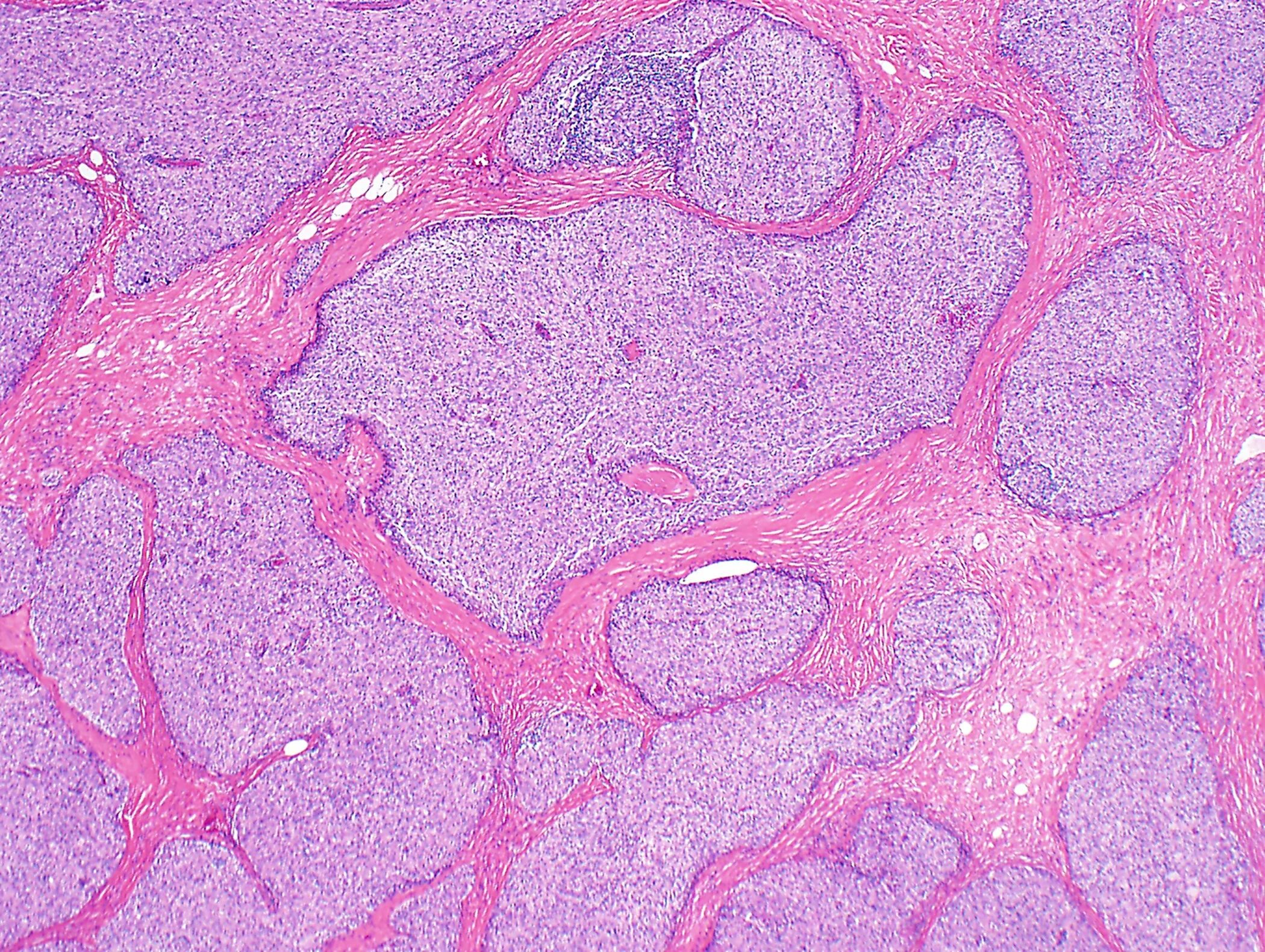
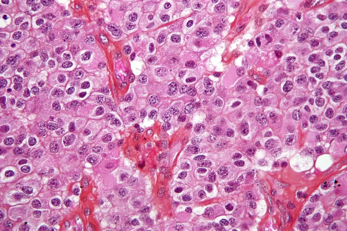
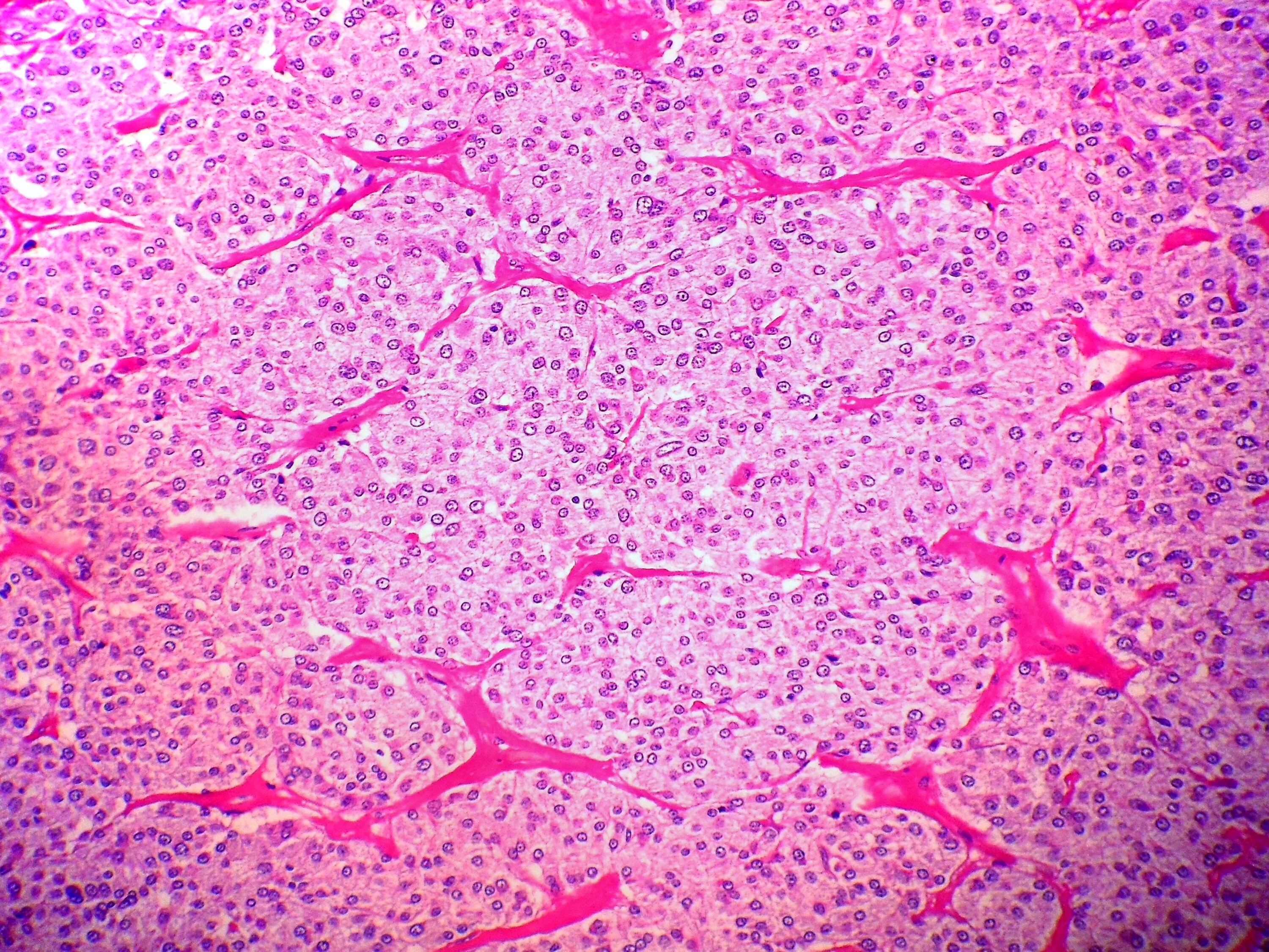
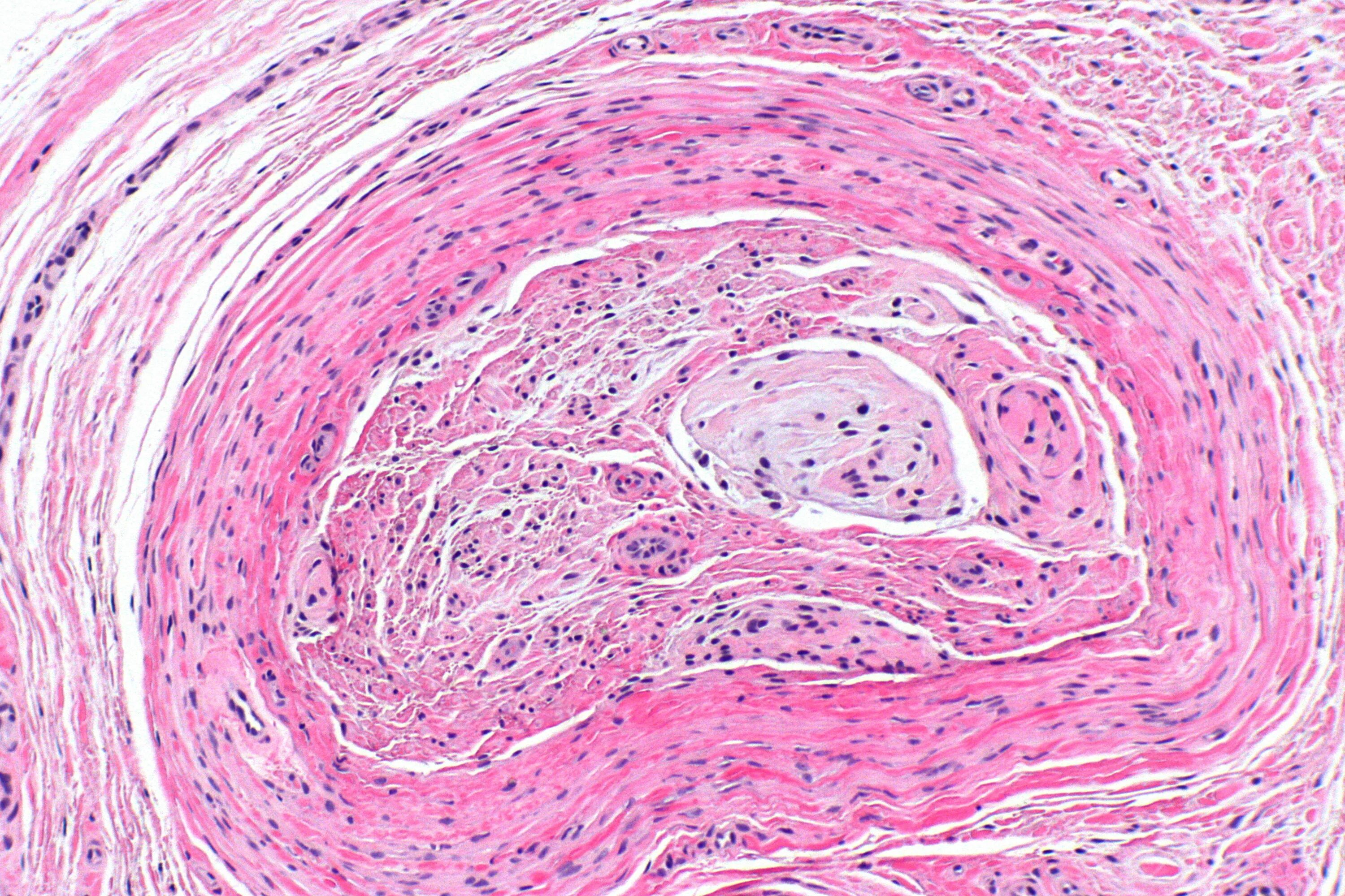
Патанат