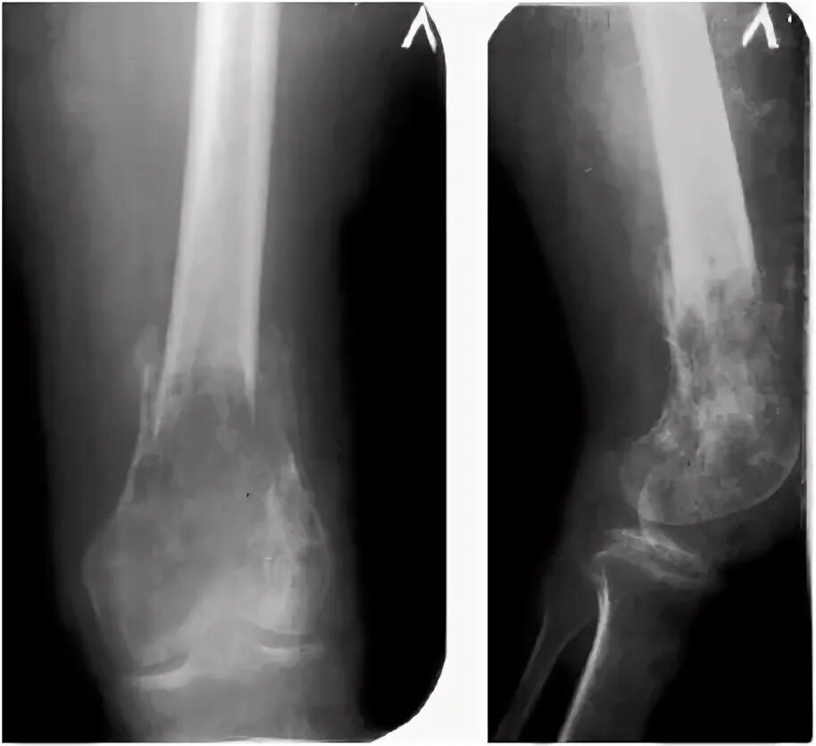
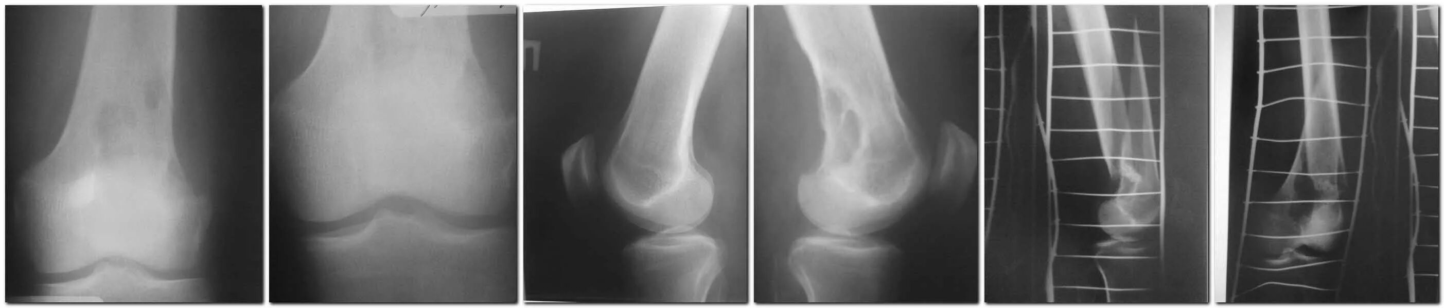
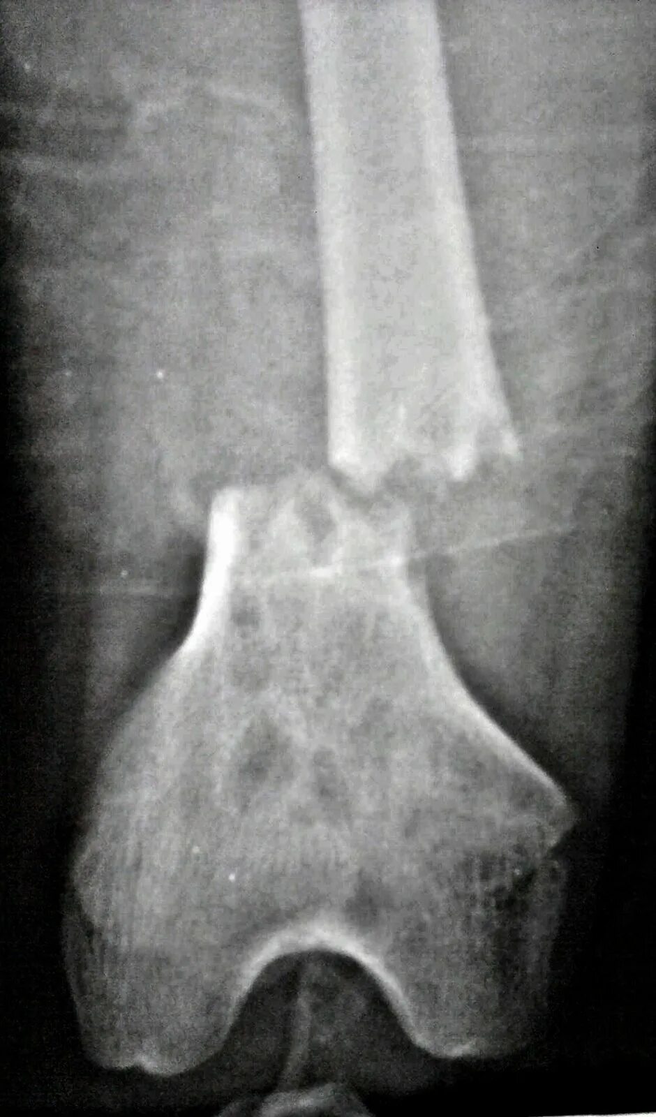
Патологический перелом бедра