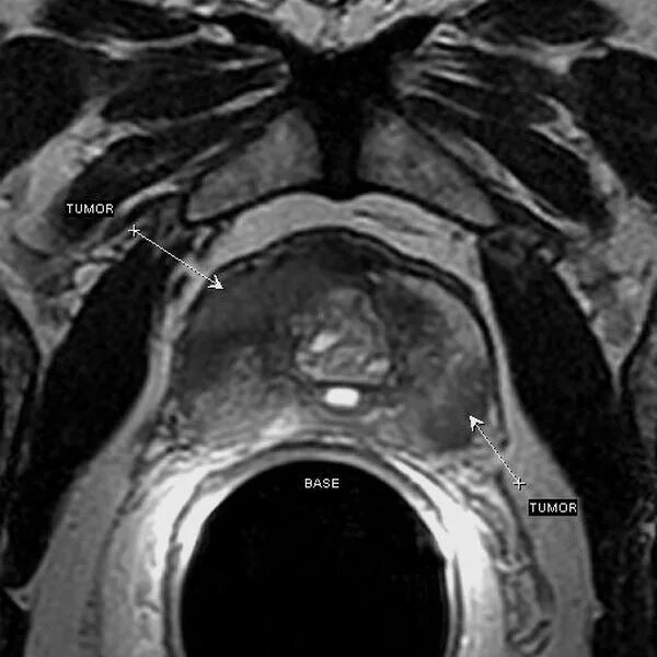
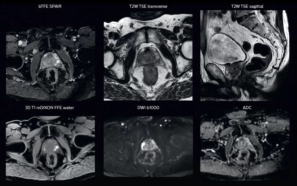
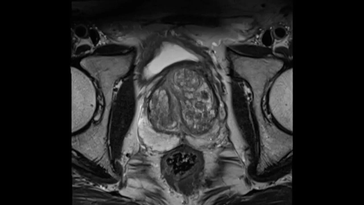
Перед мрт простаты