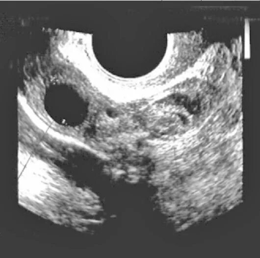
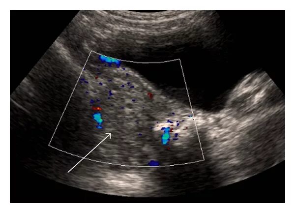
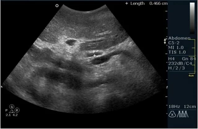
Перекрут придатков матки