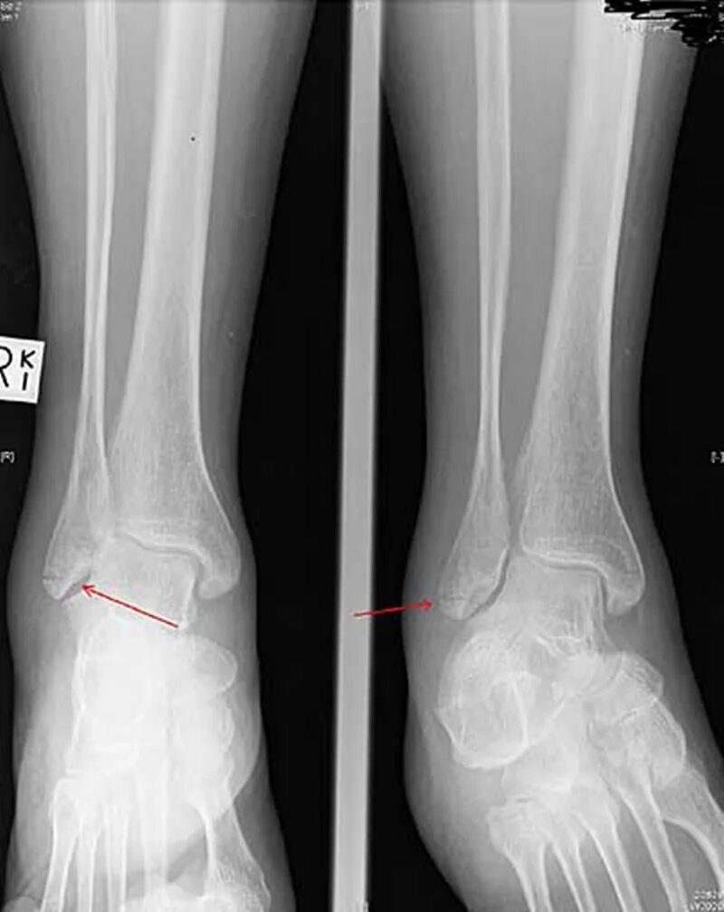
Перелом 3 берцовой кости