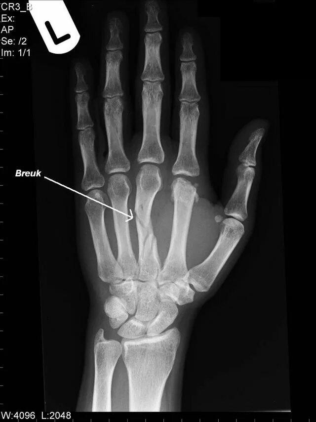
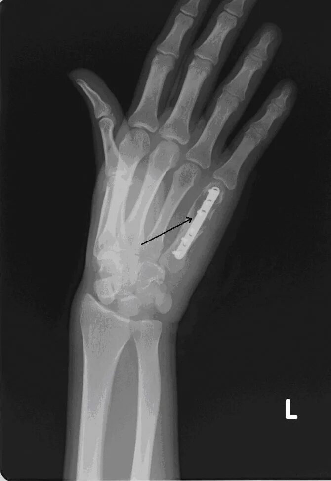
Перелом 3 пястной кости