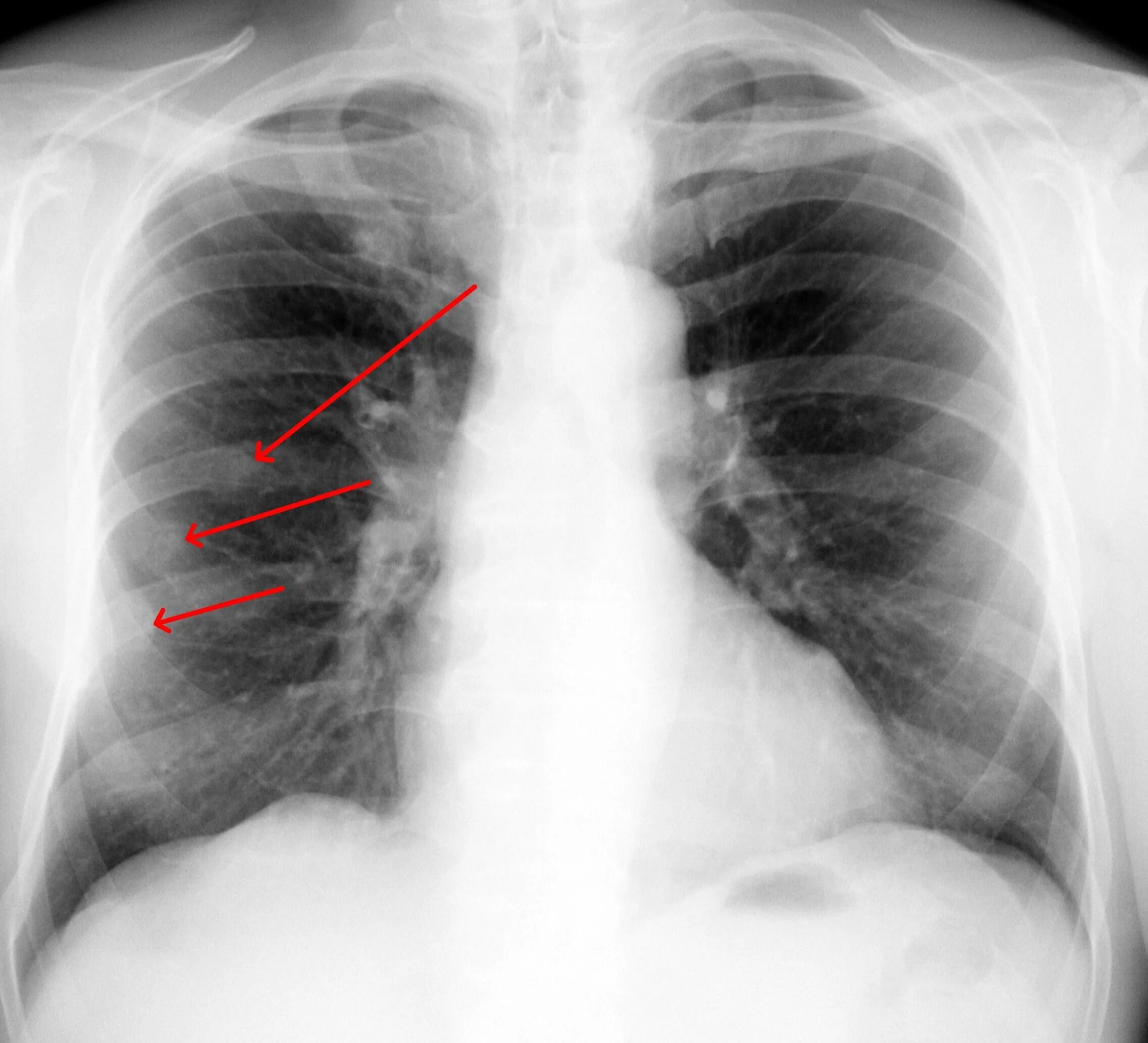
Перелом 5 6 7 ребер