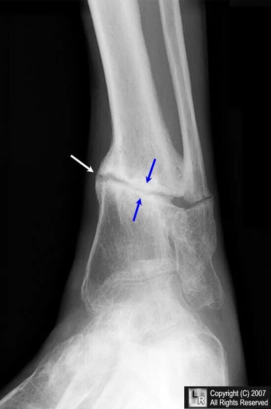
Перелом дефект