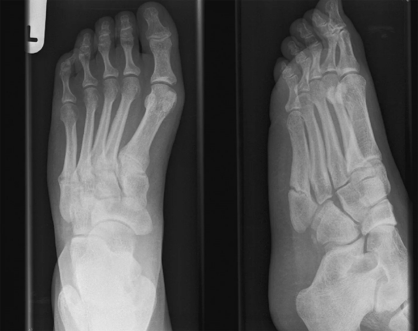
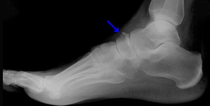
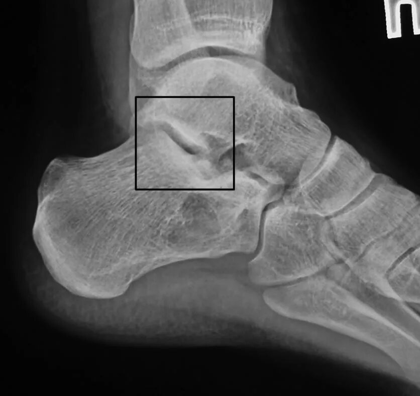
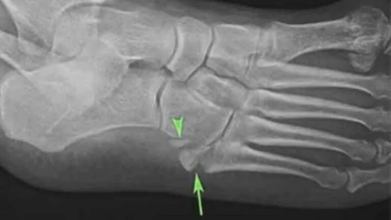
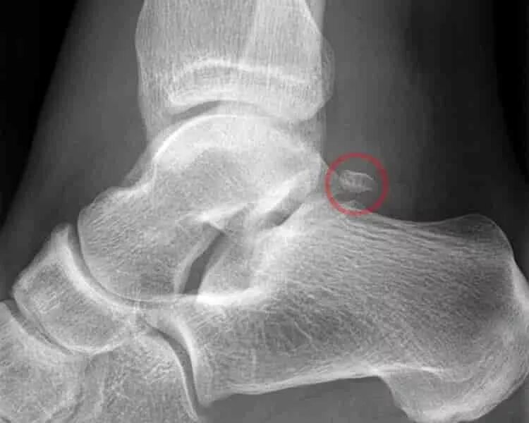
Перелом задней кости стопы