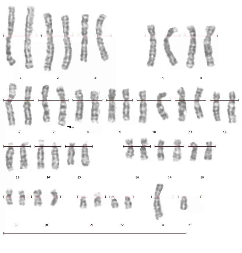
Перестройка хромосом