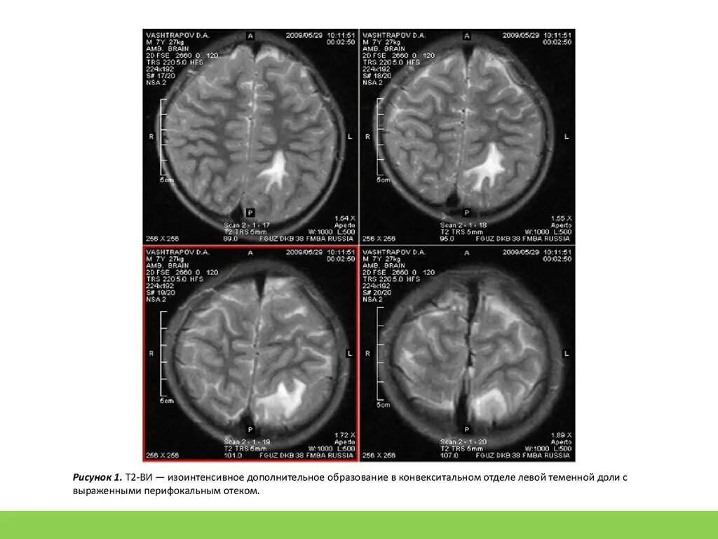
Перифокальный отек образования