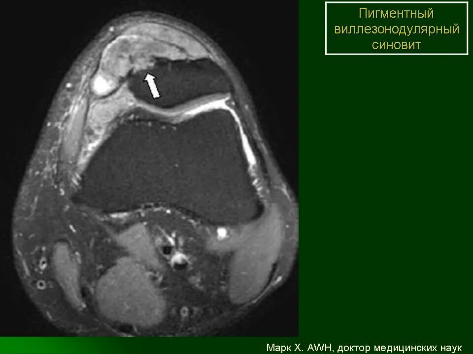
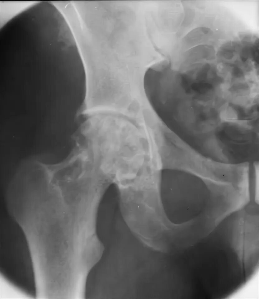
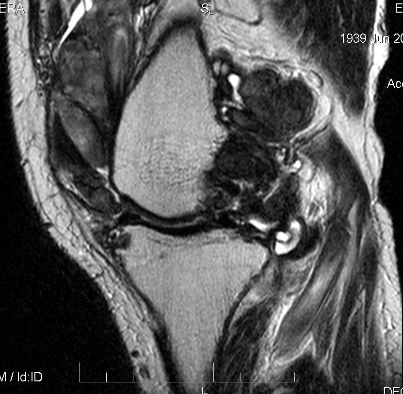
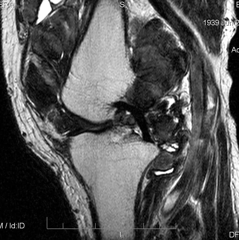
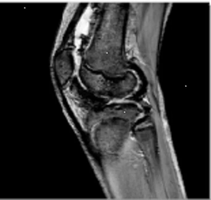
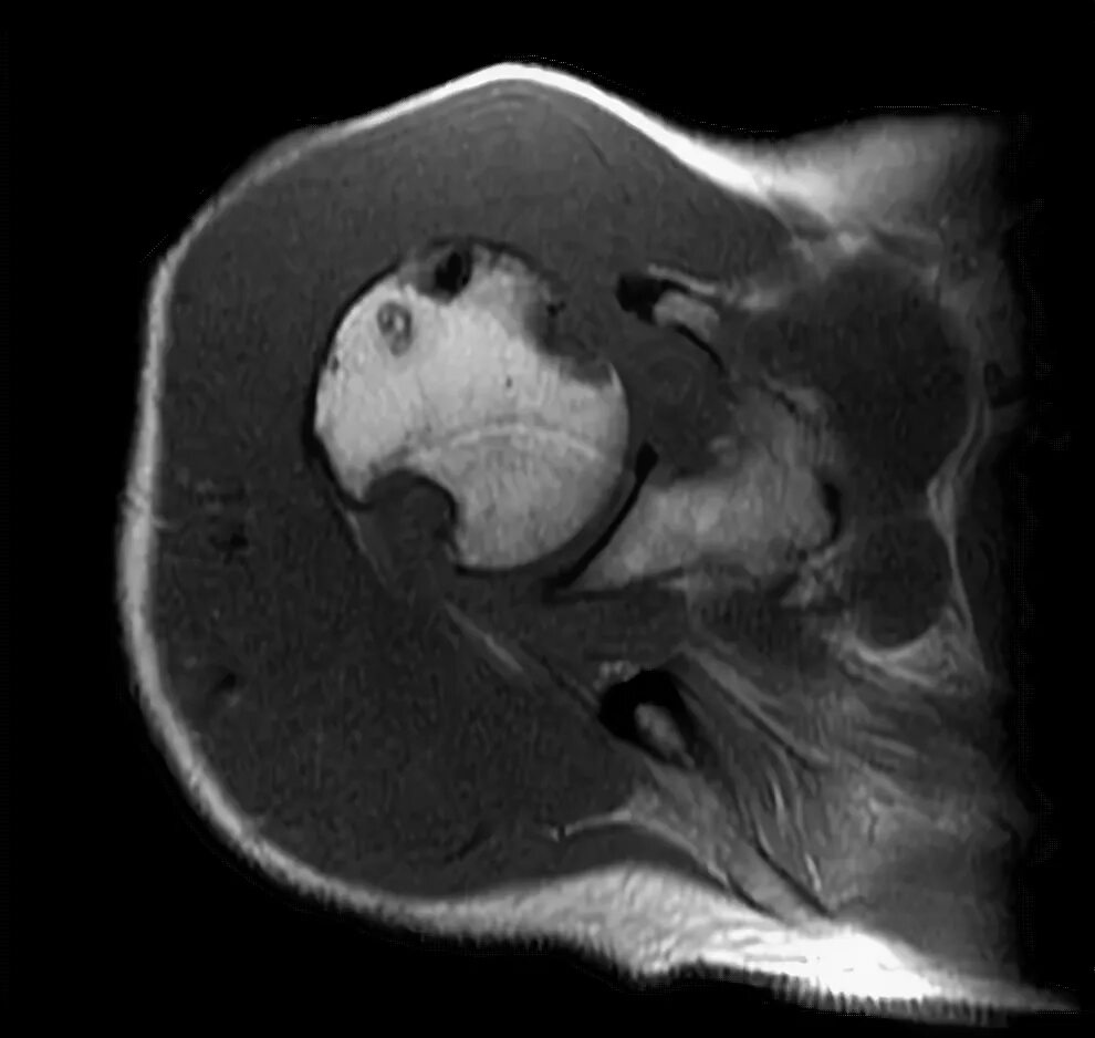
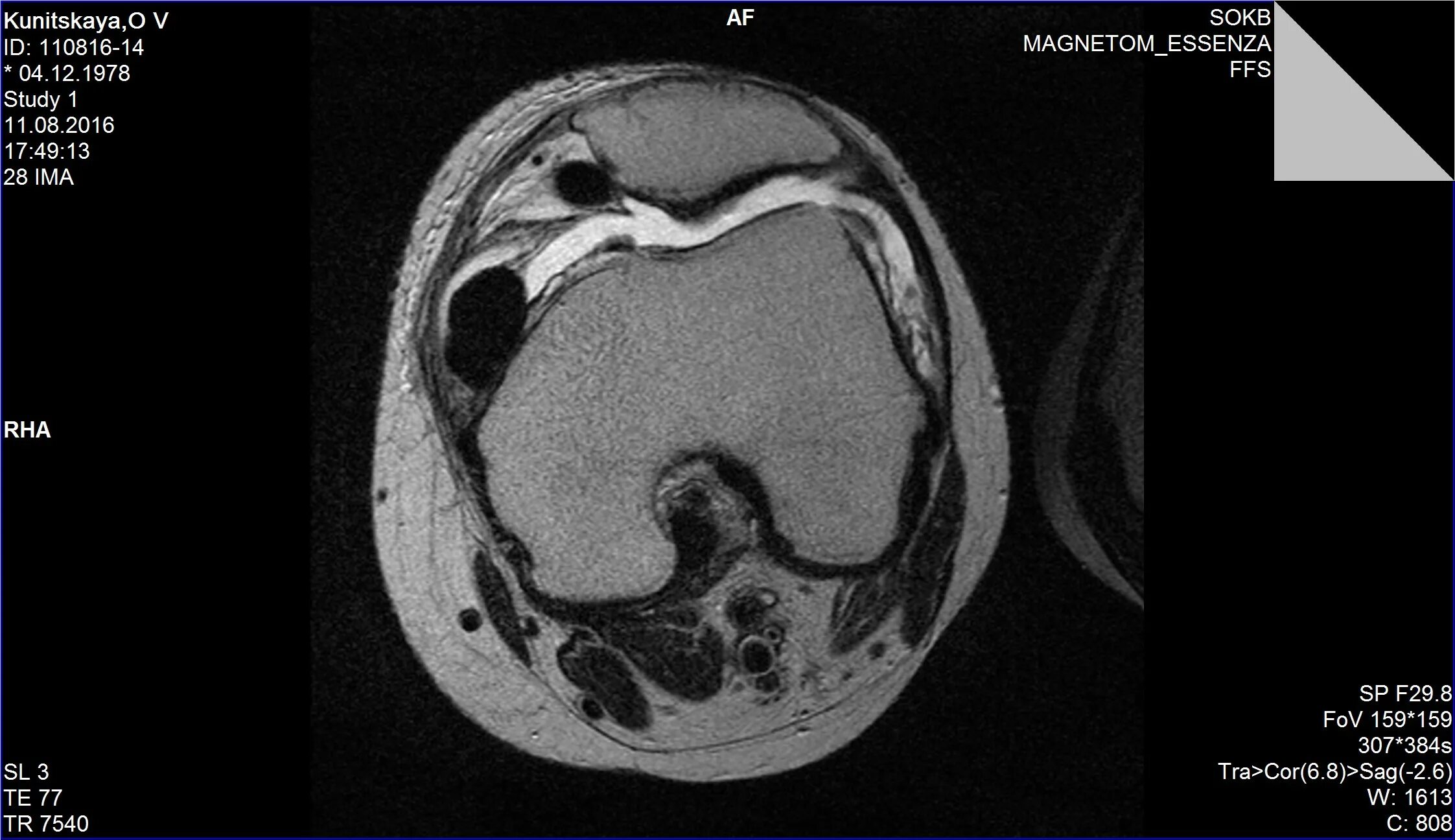
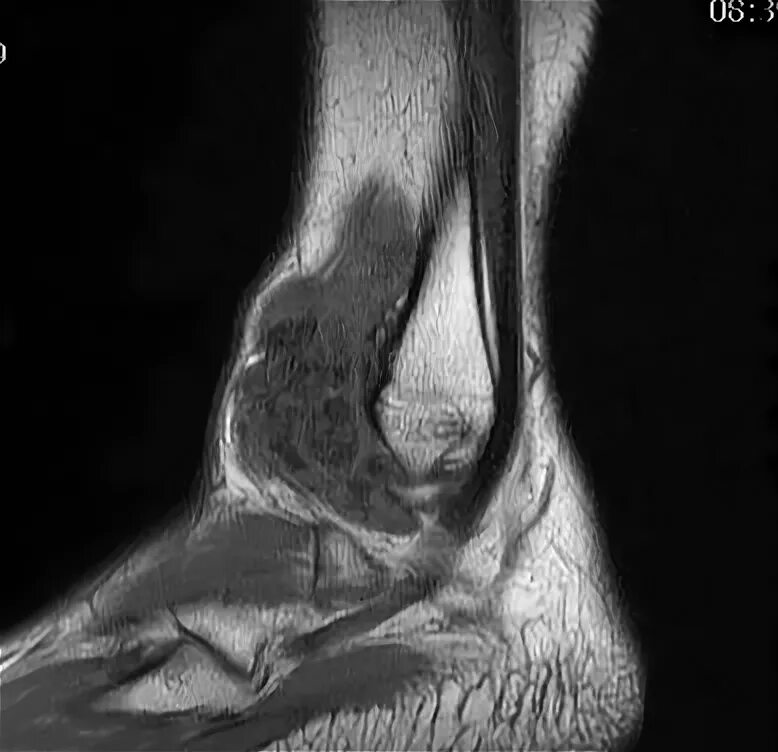
Пигментный виллонодулярный синовит