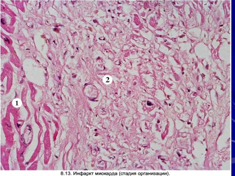
Под инфаркт