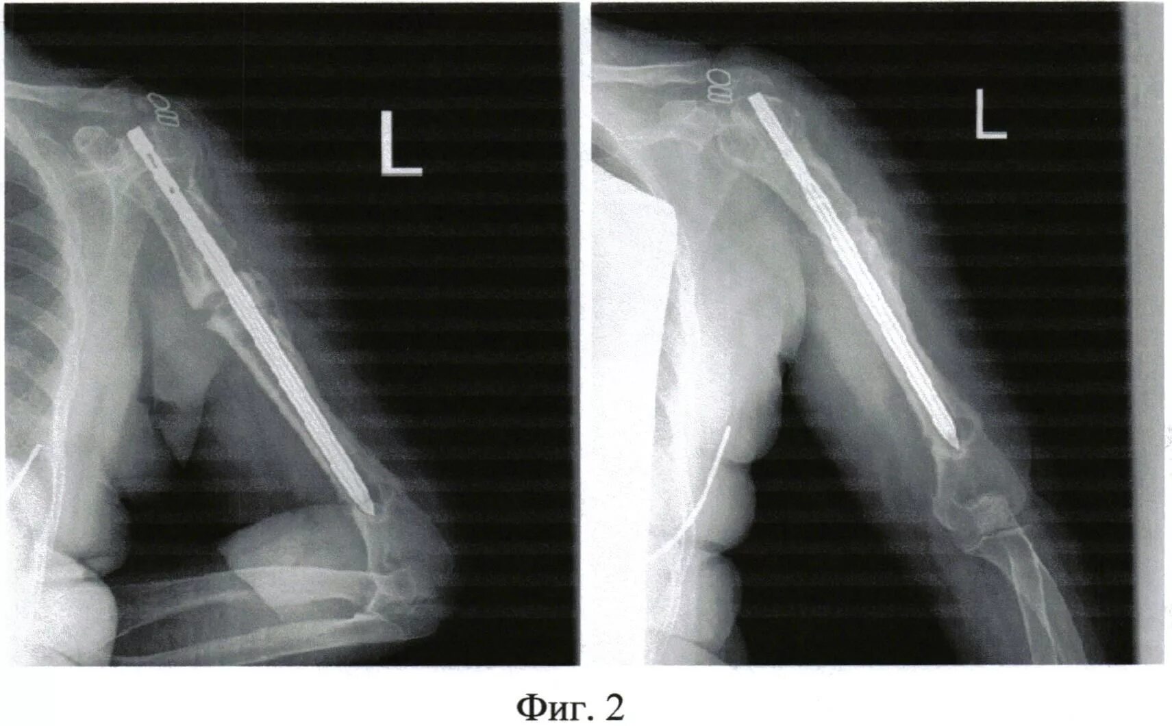
После ложных