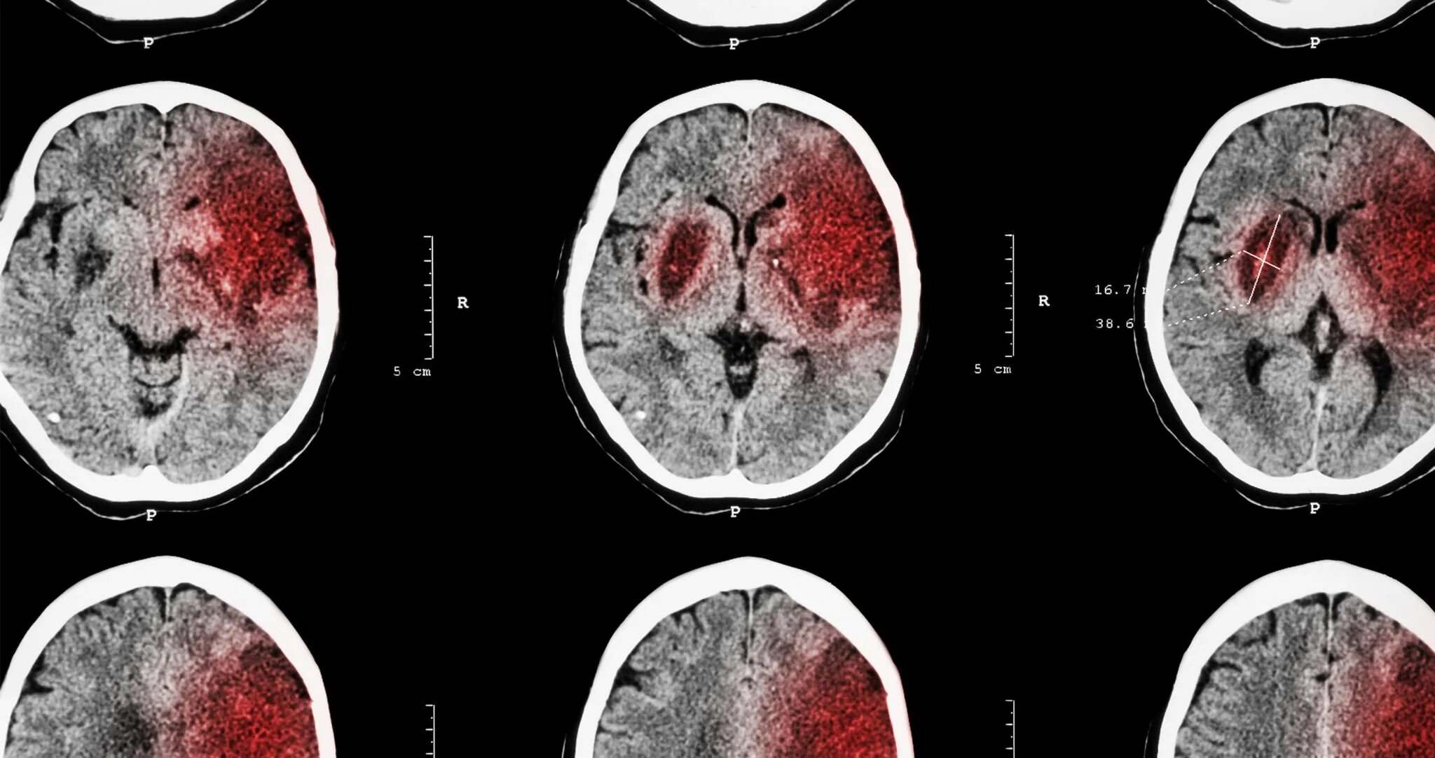
Последствия после инсульта мозга