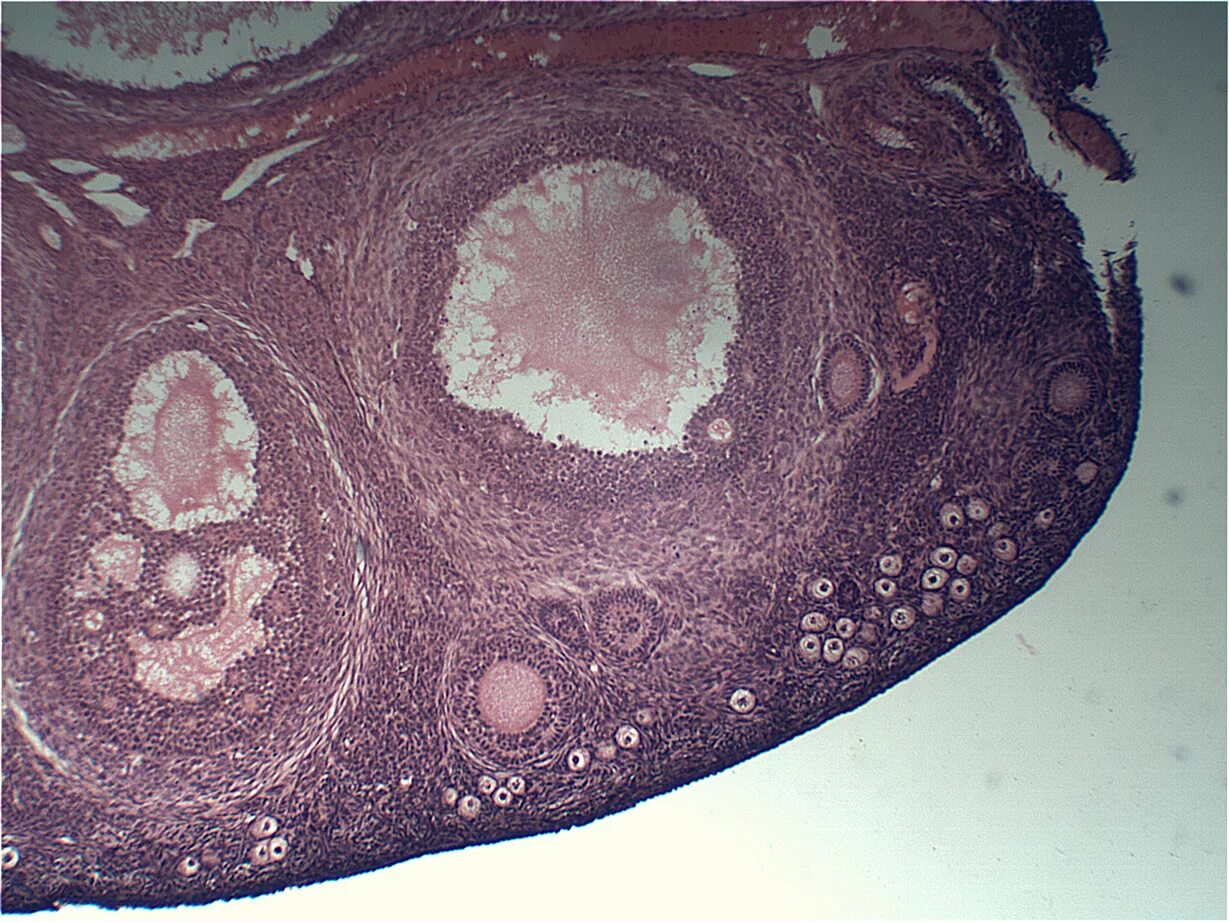
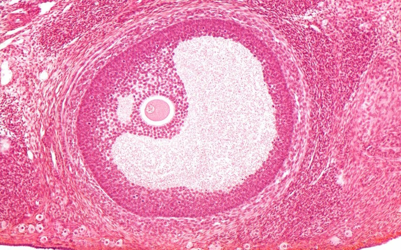
Препарат фолликул