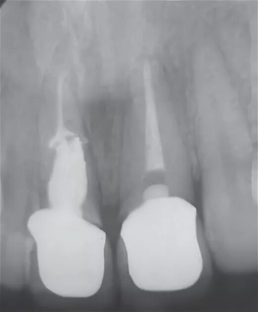
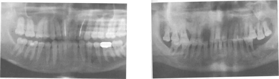
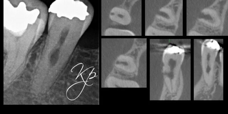
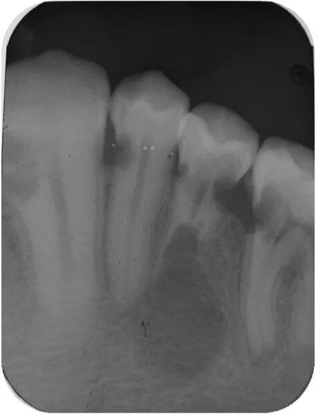
Признаки резорбции